서울바른이 진행케이스
현재 서울바른이치과교정과에서 치료 중인 환자분들의 변화과정입니다.
치료에 자신이 있기 때문에 좋은 결과만을 선택적으로 보여드리지 않고, 사진제공에 동의하신 환자분들의 교정치료 사진 전체를 보여드립니다.
NEW 교정완료)덧니치료는 서울바른이교정치과에서~!!

- 이름
- 신**(30대, 여)
- 치료명
- 교정치료
- 치료시작일
- 2017.03.14
- 치료종료일
- 2018.07.30
- 치료율
- 100%

주치의 장준규교정대표원장주치의소개
치료진행과정
덧니가 신경쓰여 내원해주신 신**님! 예쁘신 얼굴 만큼이나 이쁜 치아배열에 힘쓰도록 하겠습니다 ^^
-
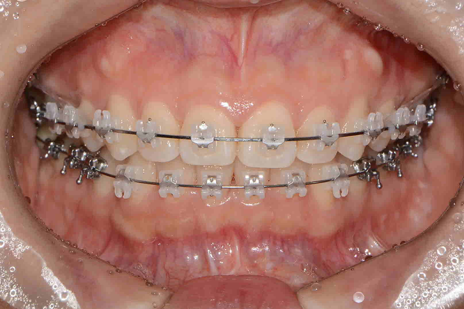
교정시작 정면
-
교정시작 측면
-
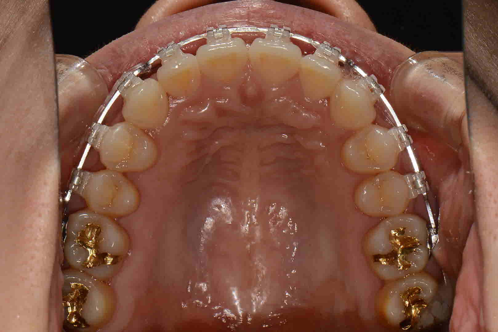
교정시작 교합면
-
2017년 09월 정면
-
2017년 09월 측면
-
2017년 09월 교합면
-
2018 년 01월 정면
-
2018 년 01월 측면
-
2018 년 01월 교합면
-
2018 년 5월 정면
-
2018 년 5월 측면
-
2018 년 5월 교합면
-
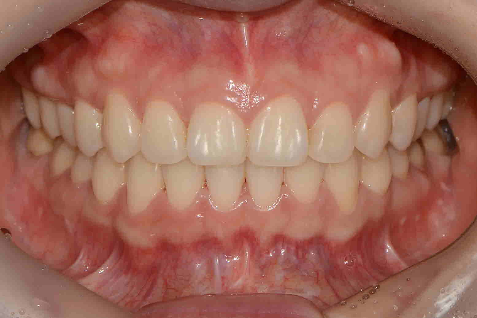
교정완료 정면
-
교정완료 측면
-
교정완료 교합면












