서울바른이 진행케이스
현재 서울바른이치과교정과에서 치료 중인 환자분들의 변화과정입니다.
치료에 자신이 있기 때문에 좋은 결과만을 선택적으로 보여드리지 않고, 사진제공에 동의하신 환자분들의 교정치료 사진 전체를 보여드립니다.
NEW 교정완료)위에만 교정해서 내려오지 않던 매복송곳니 예쁘게 배열하기 :)

- 이름
- 이**(10대, 남)
- 치료명
- 교정치료
- 치료시작일
- 2016.06.24
- 치료종료일
- 2017.11.06
- 치료율
- 100%

주치의 장준규교정대표원장주치의소개
치료진행과정
오른쪽 송곳니가 매복되어 내려오지 않고 그 자리를 유견치가 자리 잡고 있어 교정을 통해 공간확보를 통해 송곳니가 내려 올수 있도록 하겠습니다. 송곳니는 중요하고 많은 기능을 하기에 쓰임에 문제가 되지 않도록 열심히 교정치료 하겠습니다^^
-
교정시작 정면
-
교정시작 측면
-
교정시작 교합면
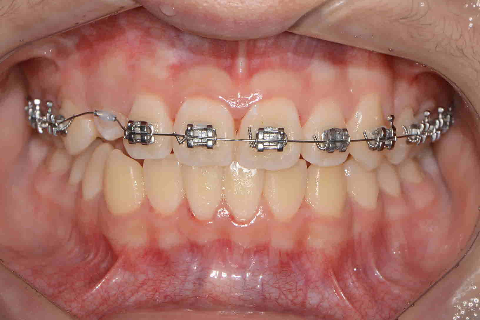
-
2017년 7월 정면
-
2017년 7월 측면
-
2017년 7월 교합면
-
교정완료 정면
-
교정완료 측면
-
교정완료 교합면












