서울바른이 진행케이스
현재 서울바른이치과교정과에서 치료 중인 환자분들의 변화과정입니다.
치료에 자신이 있기 때문에 좋은 결과만을 선택적으로 보여드리지 않고, 사진제공에 동의하신 환자분들의 교정치료 사진 전체를 보여드립니다.
NEW 7월 update) 숨어있는 덧니 이녀석!클리피씨로 이쁘게~

- 이름
- 김**(10대, 남)
- 치료명
- 교정치료
- 치료시작일
- 2017.02.21
- 치료종료일
- 2019.08.21
- 치료율
- 93%

주치의 장준규교정대표원장주치의소개
치료진행과정
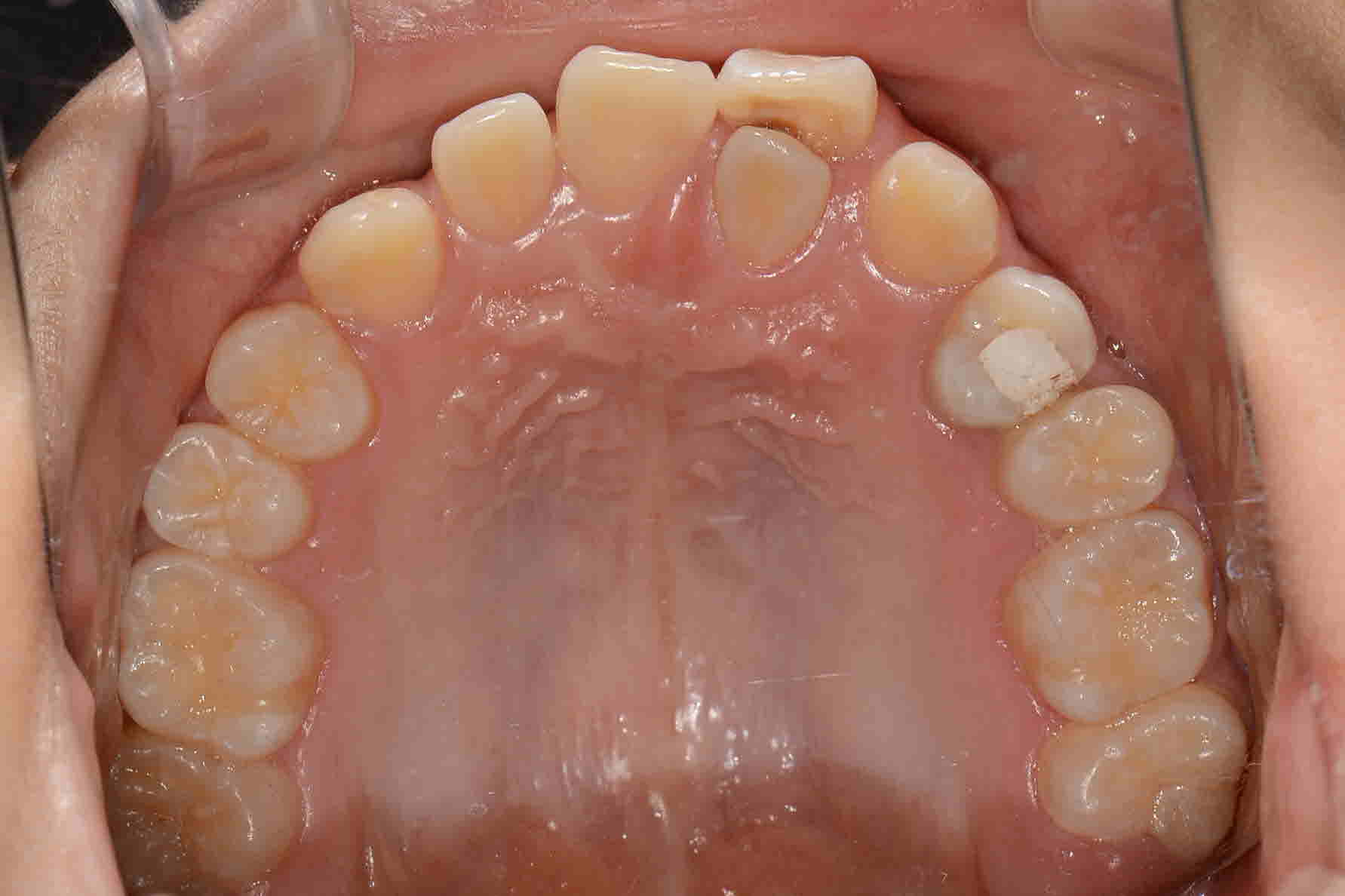
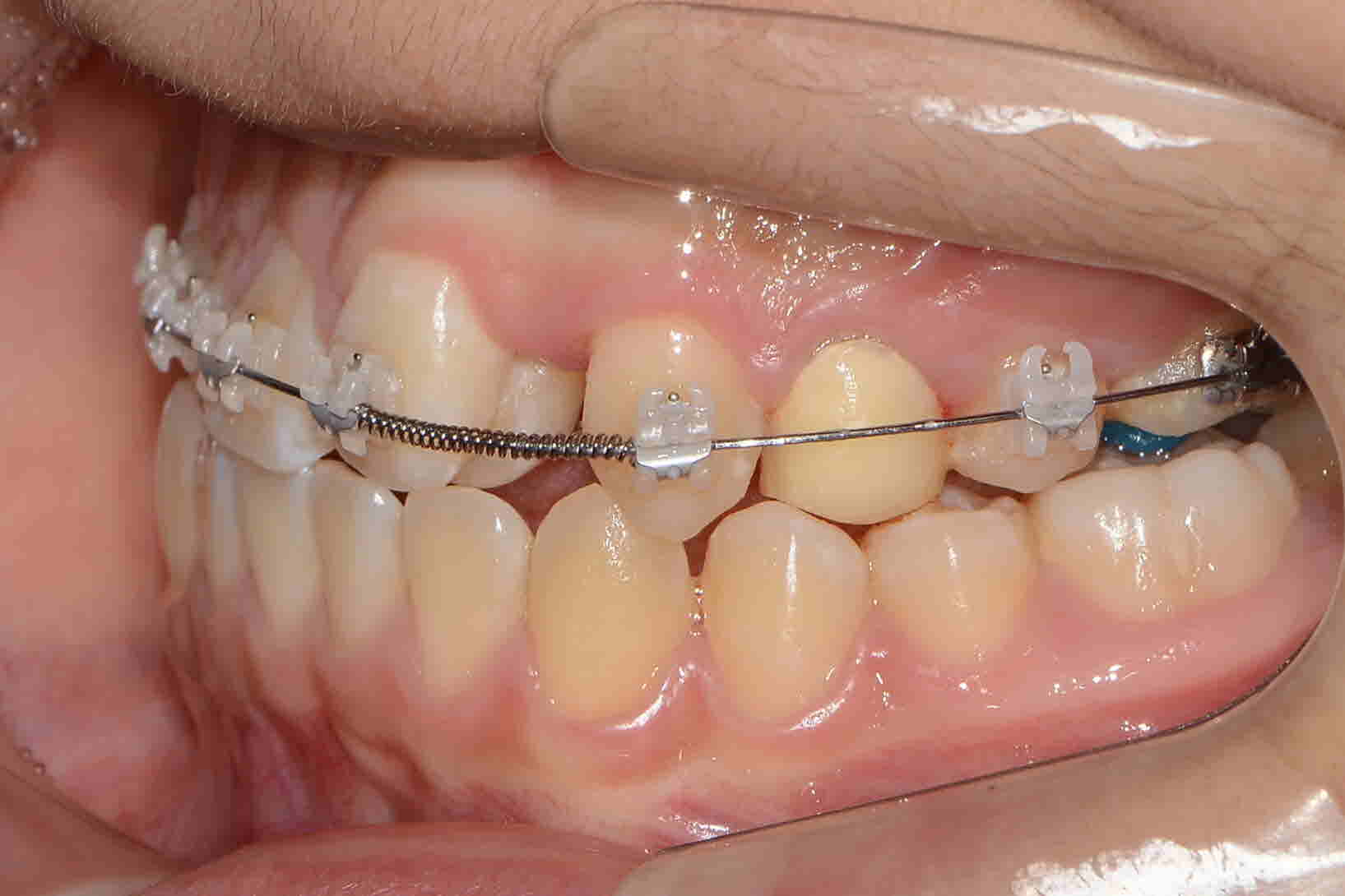
어린나이에 맞지않게 점잖아 보이는 김**님 !! 숨어있는 덧니때문에 방문 해주셨는데요. 환자분의 협조도도 너무 좋아 잘 진행되고 있습니다. 클리피씨로 숨어있는 덧니 이쁘게 꺼내드리겠습니다 !
-
교정시작 정면
-
교정시작 측면
-
교정시작 교합면
-
2017년 7월 정면
-
2017년 7월 측면
-
2017년 7월 교합면
-
2018 년 9월 정면
-
2018 년 9월 측면
-
2018 년 9월 교합면
-
2019년 6월 정면 -
2019년 6월 측면 -
2019년 6월 교합면












