서울바른이 진행케이스
현재 서울바른이치과교정과에서 치료 중인 환자분들의 변화과정입니다.
치료에 자신이 있기 때문에 좋은 결과만을 선택적으로 보여드리지 않고, 사진제공에 동의하신 환자분들의 교정치료 사진 전체를 보여드립니다.
NEW 7월 update) 클리피씨 장치교정으로 소확행

- 이름
- 최**(20대, 남)
- 치료명
- 교정치료
- 치료시작일
- 2017.12.08
- 치료종료일
- 2019.12.08
- 치료율
- 75%

주치의 장준규교정대표원장주치의소개
치료진행과정
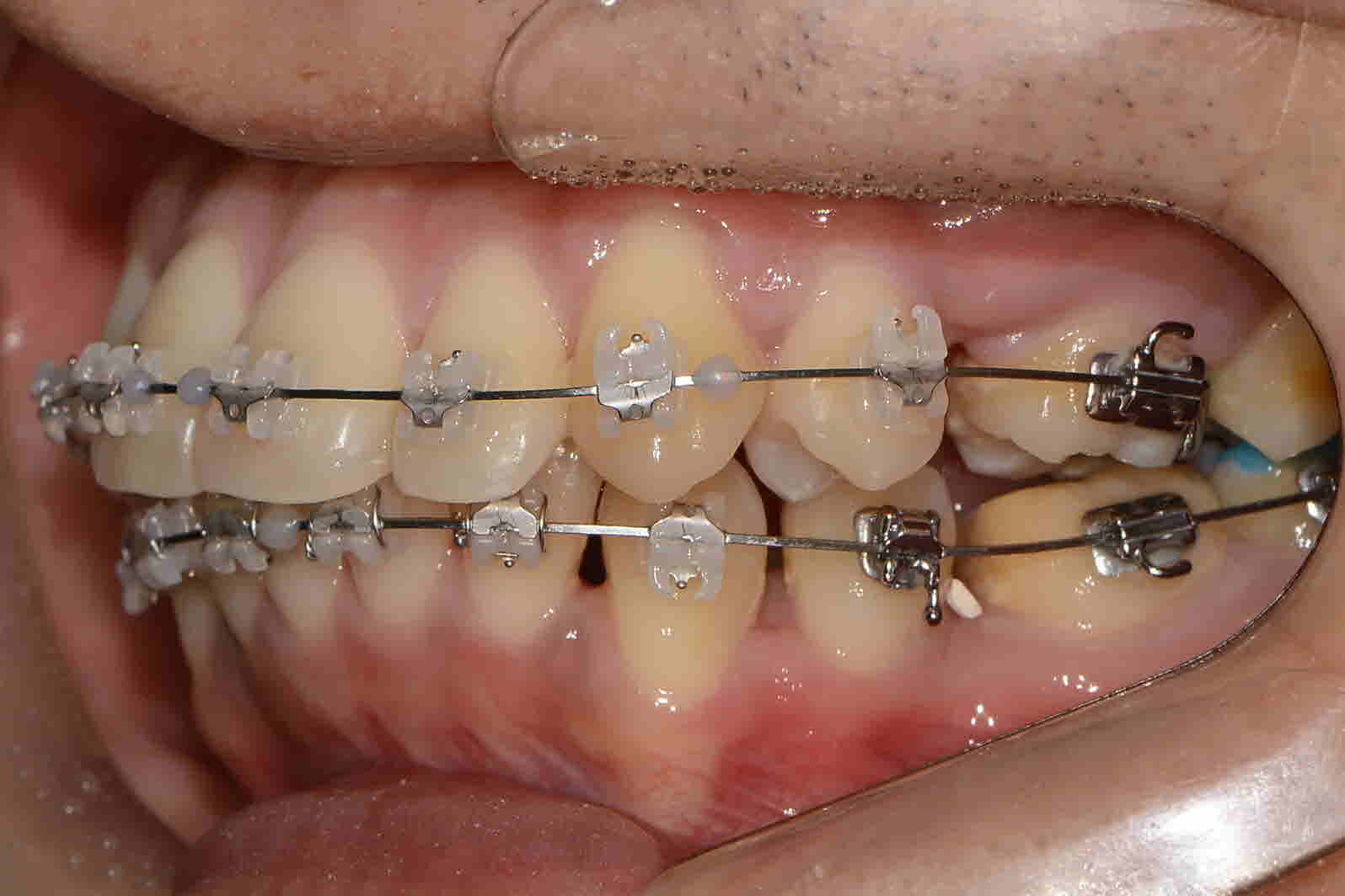
부정교합과 왼쪽 송곳니가 튀어나와 있어서 교정을 결심하신 최**님! 위,아래 작은어금니 발치를 했으니 이제는 송곳니가 가지런해질 일만 남았네요. 클리피씨 장치로 가지런한 치열을 가질 수 있도록 최선을 다하겠습니다.
-
교정시작 정면 -
교정시작 측면 -
교정시작 교합면 -
2018 년 9월 정면
-
2018 년 9월 측면
-
2018 년 9월 교합면
-
2019년 7월 정면
-
2019년 7월 측면
-
2019년 7월 교합면












