서울바른이 진행케이스
현재 서울바른이치과교정과에서 치료 중인 환자분들의 변화과정입니다.
치료에 자신이 있기 때문에 좋은 결과만을 선택적으로 보여드리지 않고, 사진제공에 동의하신 환자분들의 교정치료 사진 전체를 보여드립니다.
NEW 5월 update)멋진미소로 호감도 상승!

- 이름
- 윤**(20대, 남)
- 치료명
- 교정진료
- 치료시작일
- 2017.10.10
- 치료종료일
- 2020.05.30
- 치료율
- 97%

주치의 장준규교정대표원장주치의소개
치료진행과정
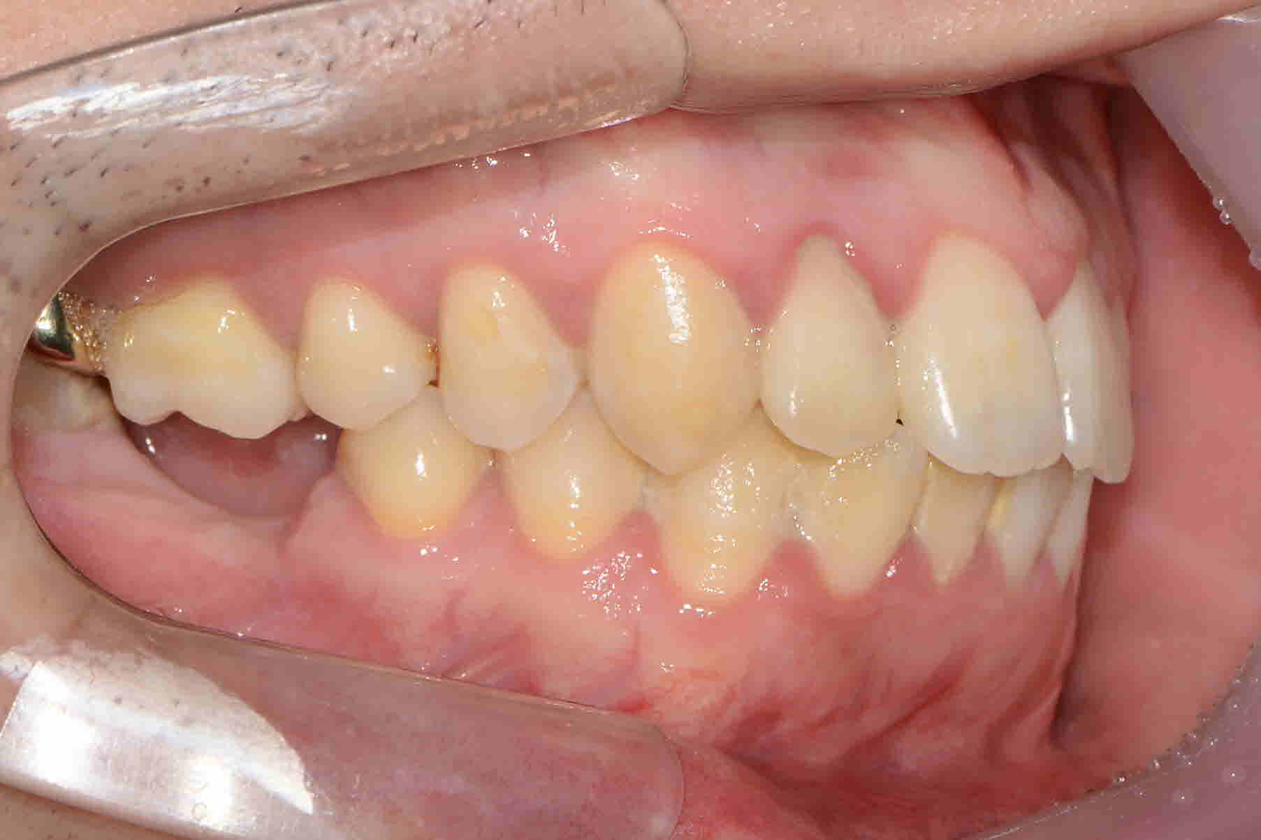
돌출입 고민으로 내원해주신 윤**님! 빠져있는 치아들로 임플란트도 계획중이셨는데요.위에 작은어금니 발치로 앞니들을 뒤로 이동시켜 돌출입을 개선하고 있는중입니다. 또 위치가 좋지않아 사용하지못하는 사랑니를 앞으로 당겨 임플란트 대신 쓰실 수 있게 교정진행중입니다.점점 더 멋진미소를 보여주시는 윤**님 교정마무리까지 최선을다하겠습니다. ^^
-
교정시작 정면
-
교정시작 측면
-
교정시작 교합면
-
1 8년 7월 정면
-
1 8년 7월 측면
-
1 8년 7월 교합면
-
1 8년 11월 정면
-
1 8년 11월 측면
-
1 8년 11월 교합면
-
19년 5월 정면
-
19년 5월 측면
-
19년 5월 교합면












