서울바른이 진행케이스
현재 서울바른이치과교정과에서 치료 중인 환자분들의 변화과정입니다.
치료에 자신이 있기 때문에 좋은 결과만을 선택적으로 보여드리지 않고, 사진제공에 동의하신 환자분들의 교정치료 사진 전체를 보여드립니다.
NEW 교정완료) 너 교정 어디서 했어? 서울바른이치과!

- 이름
- 오**(10대, 여)
- 치료명
- 교정치료
- 치료시작일
- 2018.01.09
- 치료종료일
- 2019.11.20
- 치료율
- 100%

주치의 장준규교정대표원장주치의소개
치료진행과정
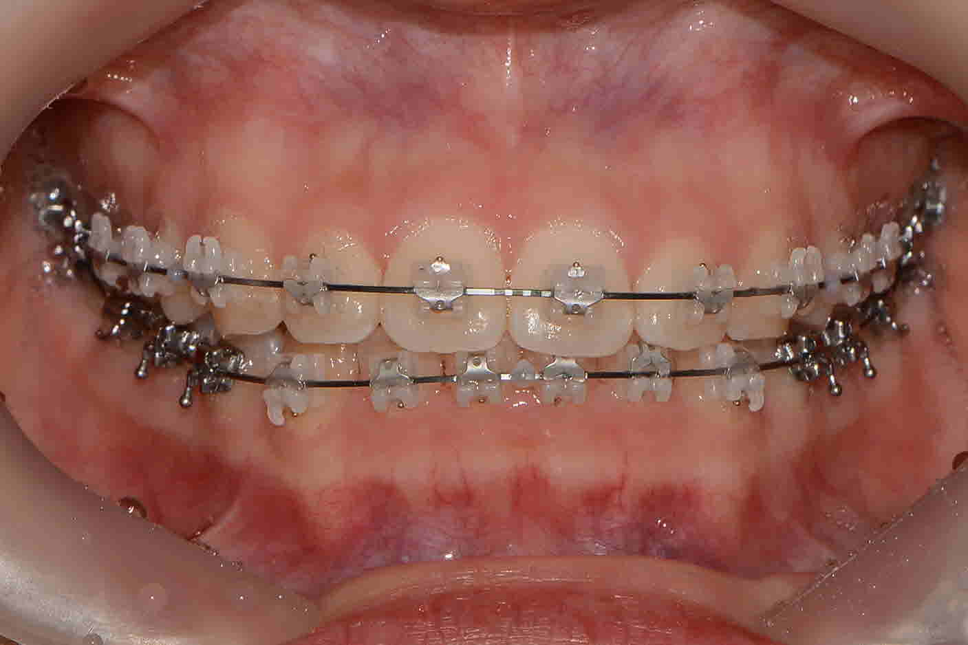
제일 잘 보이는 앞니 두개가 틀어지고 튀어나와 있어서 내원해주신 오**님! 심미적으로도 예쁘지 않다고 고민이셨는데요, 아래 앞니쪽도 삐뚤빼뚤 하셨지만 전체적인 교합은 좋으신 상태였습니다. 클리피씨 장치로 더 빠르고 가지런히 앞니를 배열하고, 아래 앞니를 윗니가 많이 덮고 있던 부분도 해소되고 있습니다. 심미적으로 꼭 개선될 수 있게 최선을 다해 교정진료하겠습니다. ^^
-
교정시작 정면
-
교정시작 측면
-
교정시작 교합면
-
2018 년 8월 정면
-
2018 년 8월 측면
-
2018 년 8월 교합면
-
교정완료 정면
-
교정완료 측면
-
교정완료 교합면












