서울바른이 진행케이스
현재 서울바른이치과교정과에서 치료 중인 환자분들의 변화과정입니다.
치료에 자신이 있기 때문에 좋은 결과만을 선택적으로 보여드리지 않고, 사진제공에 동의하신 환자분들의 교정치료 사진 전체를 보여드립니다.
NEW 교정완료)깨끗하게~맑게~자신있게! 화이트한 웃음^^

- 이름
- 전**(20대, 남)
- 치료명
- 교정치료
- 치료시작일
- 2015.07.23
- 치료종료일
- 2017.01.23
- 치료율
- 100%

주치의 장준규교정대표원장주치의소개
치료진행과정
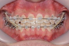
훈훈하신 외모에 약간 아쉬움이 남는 옥의 티! 덧니를 가지신 전**님! 더욱 더 멋진 미소와 훈훈함을 더해드리고자 남은 교정기간도 바르고 예쁜 치아를 위해 정성껏 힘쓰겠습니다.^^
-
교정시작 정면
-
교정시작 측면
-
2015년 12월 정면
-
2015년 12월 측면
-
2016년 04월 정면
-
2016년 04월 측면
-
2016년 05월 정면
-
2016년 05월 측면
-
2016년 8월 정면
-
2016년 8월 측면
-
교정완료 정면
-
교정완료 측면












