서울바른이 진행케이스
현재 서울바른이치과교정과에서 치료 중인 환자분들의 변화과정입니다.
치료에 자신이 있기 때문에 좋은 결과만을 선택적으로 보여드리지 않고, 사진제공에 동의하신 환자분들의 교정치료 사진 전체를 보여드립니다.
NEW 교정완료)장치가 뭣이 중한디!?! 심미적인 세라믹 장친데!!

- 이름
- 이**(20대, 남)
- 치료명
- 교정치료
- 치료시작일
- 2016.01.04
- 치료종료일
- 2017.12.18
- 치료율
- 100%

주치의 장준규교정대표원장주치의소개
치료진행과정
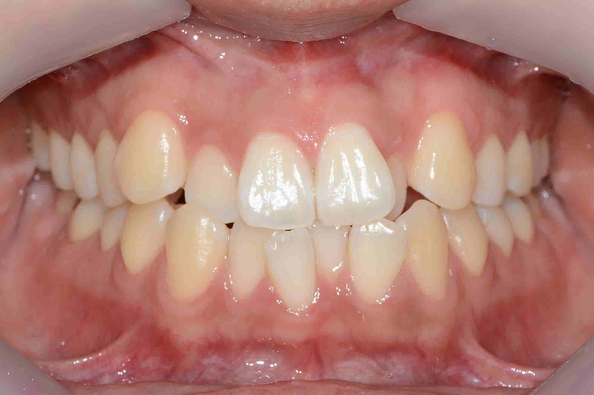
삐뚤삐뚤한 덧니로 인해 웃는것에 자신이 없으셨던 이**님! 내원해주실때마다 시원시원하게 웃어주시고 치아가 가지런해지는게 보이신다며 너무나 만족하시네요! 남은 교정치료 기간에도 환하게 미소지을수 있도록 최선을 다해 노력하겠습니다.
-
교정시작 정면
-
교정시작 측면
-
교정시작 교합면
-
2016년 06월 정면
-
2016년 06월 측면
-
2016년 06월 교합면
-
2016년 09월 정면
-
2016년 09월 측면
-
2016년 09월 교합면
-
2017년 05월 정면
-
2017년 05월 측면
-
2017년 05월 교합면
-
교정 완료 정면
-
교정 완료 측면
-
교정 완료 교합면












