서울바른이 치료 종료케이스
[비수술_개방교합] 개방교합, 돌출입 (20대 여성) | |||||
작성자 | 관리자 | 조회수 | 3061 | 작성일 | 2015-05-20 |
---|---|---|---|---|---|
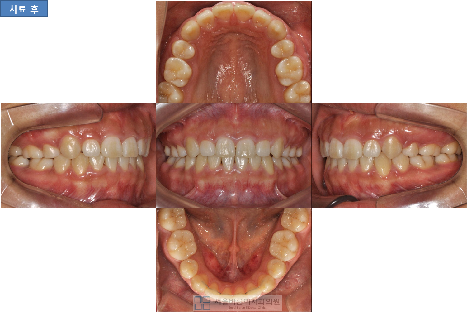
![]() ![]() 개방교합과 돌출입때문에 교정치료를 받으신 분이십니다. 4개의 소구치를 발치하여 돌출입과 개방교합을 해결하였습니다. 당신의 미소를 생각합니다, 교정전문 서울바른이치과 |
[비수술_개방교합] 개방교합, 돌출입 (20대 여성) | |||||
작성자 | 관리자 | 조회수 | 3061 | 작성일 | 2015-05-20 |
---|---|---|---|---|---|
![]() ![]() 개방교합과 돌출입때문에 교정치료를 받으신 분이십니다. 4개의 소구치를 발치하여 돌출입과 개방교합을 해결하였습니다. 당신의 미소를 생각합니다, 교정전문 서울바른이치과 |
※ 제공하신 개인정보는 개인정보보호지침에따라 보호,관리되며 제3자에게 동의없이 제공되지 않습니다.