서울바른이 진행케이스
현재 서울바른이치과교정과에서 치료 중인 환자분들의 변화과정입니다.
치료에 자신이 있기 때문에 좋은 결과만을 선택적으로 보여드리지 않고, 사진제공에 동의하신 환자분들의 교정치료 사진 전체를 보여드립니다.
NEW 10월 update) 숨어있는 치아 제자리 찾아주기

- 이름
- 차**(20대, 여)
- 치료명
- 교정치료
- 치료시작일
- 2018.03.07
- 치료종료일
- 2020.03.07
- 치료율
- 29%

주치의 장준규교정대표원장주치의소개
치료진행과정
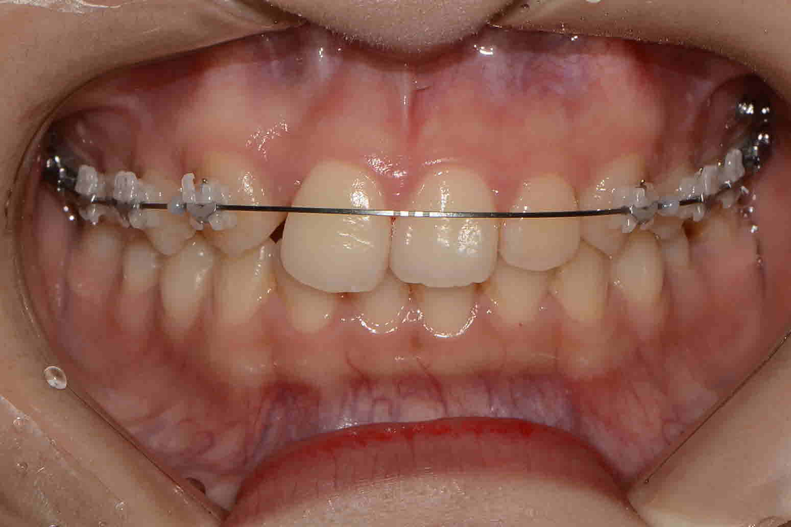
위에 앞니옆에 치아가 안쪽으로 들어가있어서 교정을 결심해주신 차**님! 위에 양쪽 사랑니를 발치하고 후방이동으로 교청치료 예정입니다. 비발치로 진행하셨고 장치는 클리피씨로 선택하셨습니다. 동생분이 교정시작을 하여서 믿고 저희병원으로 와주신만큼 최선을 다해 교정치료로 보답하겠습니다. ^^
-
교정시작 정면
-
교정시작 측면
-
교정시작 교합면
-
2018 년 9월 정면
-
2018 년 9월 측면
-
2018 년 9월 교합면
-
coming soon -
coming soon -
coming soon












