서울바른이 진행케이스
현재 서울바른이치과교정과에서 치료 중인 환자분들의 변화과정입니다.
치료에 자신이 있기 때문에 좋은 결과만을 선택적으로 보여드리지 않고, 사진제공에 동의하신 환자분들의 교정치료 사진 전체를 보여드립니다.
NEW 5월 update)가야해~가야해♪ 나는 가야해♩ 교정 하러 가야해 ♬

- 이름
- 신**(20대, 여)
- 치료명
- 교정치료
- 치료시작일
- 2018.08.04
- 치료종료일
- 2021.02.04
- 치료율
- 70%

주치의 장준규교정대표원장주치의소개
치료진행과정
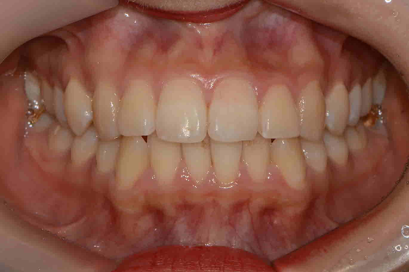
돌출입 때문에 입이 나와보이는게 싫어서 교정을 결심해주신 신**님입니다. 옆에서 봤을때 자연스러운 입술 라인을 원하시기에 발치교정을 진행하고 계십니다. 항상 최선을 다하는 서울바른이치과가 되겠습니다.
-
교정시작 정면
-
교정시작 측면
-
교정시작 교합면
-
18 년 9월 정면
-
18 년 9월 측면
-
18 년 9월 교합면
-
coming soon -
coming soon -
coming soon












