서울바른이 진행케이스
현재 서울바른이치과교정과에서 치료 중인 환자분들의 변화과정입니다.
치료에 자신이 있기 때문에 좋은 결과만을 선택적으로 보여드리지 않고, 사진제공에 동의하신 환자분들의 교정치료 사진 전체를 보여드립니다.
NEW 6월 update)여러분~ 여러분~ 교정합시다 ♩가끔은 서울바른이 교정한다 말합시다 ♬

- 이름
- 김**(20대, 남)
- 치료명
- 교정치료
- 치료시작일
- 2018.05.09
- 치료종료일
- 2020.02.25
- 치료율
- 100%

주치의 장준규교정대표원장주치의소개
치료진행과정
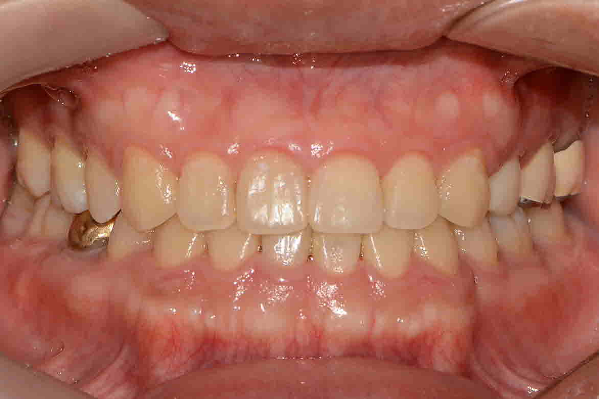
거꾸로 물리는 치아에! 안쪽으로 나버린 작은어금니까지! 거꾸로 물리시는 치아와 위치이상 작은어금니를 발치 교정치료로 진행하시고 교정 마무리된 사진을 보니 감회가 새롭습니다. 교정 전후 사진을 보시고는 대만족이라고 말씀해주셔서 너무 감사합니다.
-
교정시작 정면
-
교정시작 측면
-
교정완료 교합면
-
19년 2월 정면
-
19년 2월 측면
-
19년 2월 교합면
-
교정완료 정면
-
교정완료 측면
-
교정완료 교합면












