서울바른이 진행케이스
현재 서울바른이치과교정과에서 치료 중인 환자분들의 변화과정입니다.
치료에 자신이 있기 때문에 좋은 결과만을 선택적으로 보여드리지 않고, 사진제공에 동의하신 환자분들의 교정치료 사진 전체를 보여드립니다.
NEW 8월 update)찐이야~♩ 요즘 같이 가짜가 많은 세상에♬ 믿을 치과 서울바른이♪

- 이름
- 송**(10대, 여)
- 치료명
- 교정치료
- 치료시작일
- 2019.02.13
- 치료종료일
- 2021.02.13
- 치료율
- 70%

주치의 장준규교정대표원장주치의소개
치료진행과정
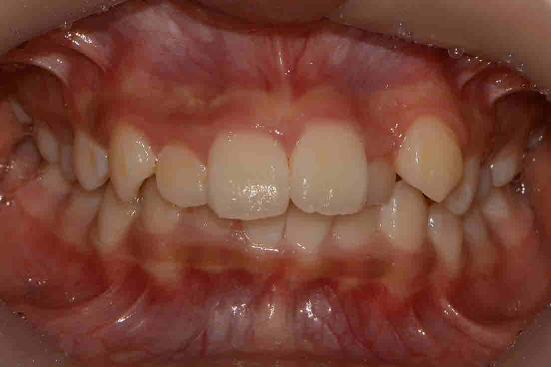
웃을때 너무나 귀여우신 명랑 소녀 송**님! 거울볼때 덧니가 도드라져 보여 신경쓰인다며 어머님과 내원해주셔서 교정진행중입니다. 예쁜 미소와 긍정에너지로 저희 병원 분위기를 산뜻하게 밝혀주시는것처럼 저도 가지런한 치열을 통해 더욱 아름다운 치열을 가질수 있도록 노력하겠습니다.
-
교정시작 정면
-
교정시작 측면
-
교정시작 교합면
-
19년 9월 정면
-
19년 9월 측면
-
19년 9월 교합면
-
20년 6월 정면
-
20년 6월 측면
-
20년 6월 교합면












