서울바른이 진행케이스
현재 서울바른이치과교정과에서 치료 중인 환자분들의 변화과정입니다.
치료에 자신이 있기 때문에 좋은 결과만을 선택적으로 보여드리지 않고, 사진제공에 동의하신 환자분들의 교정치료 사진 전체를 보여드립니다.
NEW 11월 update)교정진료는 서울바른이가 싹~쓰리!

- 이름
- 신**(10대, 여)
- 치료명
- 교정치료
- 치료시작일
- 2018.11.26
- 치료종료일
- 2020.11.13
- 치료율
- 100%

주치의 장준규교정대표원장주치의소개
치료진행과정
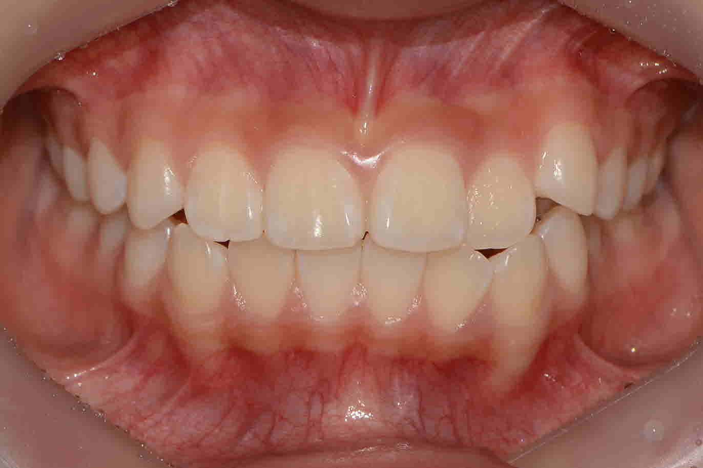
덧니로 인해 내원하셨던 신**님입니다^^ \r\n어머님도, 신**님도 교정 결과에 대해 너무나 만족해주셔서 더욱 힘이 납니다^^
-
교정시작 정면
-
교정시작 측면
-
교정시작 교합면
-
19년 3월 정면
-
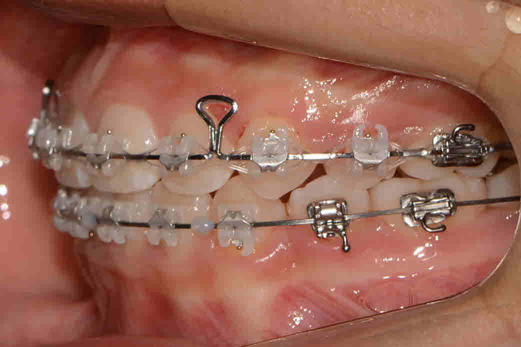
19년 3월 측면
-
19년 3월 교합면
-
교정완료 정면
-
교정완료 측면
-
교정완료 교합면












