서울바른이 진행케이스
현재 서울바른이치과교정과에서 치료 중인 환자분들의 변화과정입니다.
치료에 자신이 있기 때문에 좋은 결과만을 선택적으로 보여드리지 않고, 사진제공에 동의하신 환자분들의 교정치료 사진 전체를 보여드립니다.
NEW 5월 update)가만히 있어도 벌어지는 입! 서울바른이가 해결해드릴게요~!!

- 이름
- 이**(30대, 남)
- 치료명
- 교정 치료
- 치료시작일
- 2018.11.17
- 치료종료일
- 2021.05.17
- 치료율
- 96%

주치의 장준규교정대표원장주치의소개
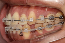
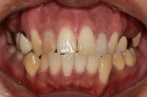
치료진행과정
돌출입과 부정교합이 있으셨던 이**님! 가만히 있어도 벌어지는 입 때문에 불편한 점이 많으셨다고 합니다. 곧 교정이 모두 끝나시는데 교정기 없이 미소지으실 모습이 벌써 기대가 되네요^^* 남은 기간 더욱 힘내보아요~!
-
교정시작 정면
-
교정시작 측면
-
교정시작 교합면
-
19년 6월 정면
-
19년 6월 측면
-
19년 6월 교합면
-
coming soon -
coming soon -
coming soon












