서울바른이 진행케이스
현재 서울바른이치과교정과에서 치료 중인 환자분들의 변화과정입니다.
치료에 자신이 있기 때문에 좋은 결과만을 선택적으로 보여드리지 않고, 사진제공에 동의하신 환자분들의 교정치료 사진 전체를 보여드립니다.
NEW 5월 update)덧니 교정은 바른이가 진또배기!

- 이름
- 이**(20대, 여)
- 치료명
- 교정 치료
- 치료시작일
- 2019.04.24
- 치료종료일
- 2021.01.04
- 치료율
- 100%

주치의 장준규교정대표원장주치의소개
치료진행과정
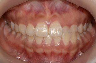
위아래 이가 거꾸로 물려있는 것과 안면비대칭이 고민이셨던 이**님! 현재는 치아가 제자리를 찾으면서 비대칭도 많이 좋아지셨습니다! 서울 바른이와 함께 해주신 이**님 역시 진또배기~!
-
교정시작 정면
-
교정시작 측면
-
교정시작 교합면
-
교정완료 정면
-
교정완료 측면
-
교정완료 교합면
-
coming soon -
coming soon -
coming soon












