서울바른이 진행케이스
현재 서울바른이치과교정과에서 치료 중인 환자분들의 변화과정입니다.
치료에 자신이 있기 때문에 좋은 결과만을 선택적으로 보여드리지 않고, 사진제공에 동의하신 환자분들의 교정치료 사진 전체를 보여드립니다.
NEW 교정완료)쉿! 티 안나게 예뻐지는 설측 교정

- 이름
- 이**(20대, 여)
- 치료명
- 교정치료
- 치료시작일
- 2015.10.10
- 치료종료일
- 2017.01.06
- 치료율
- 100%

주치의 장준규교정대표원장주치의소개
치료진행과정
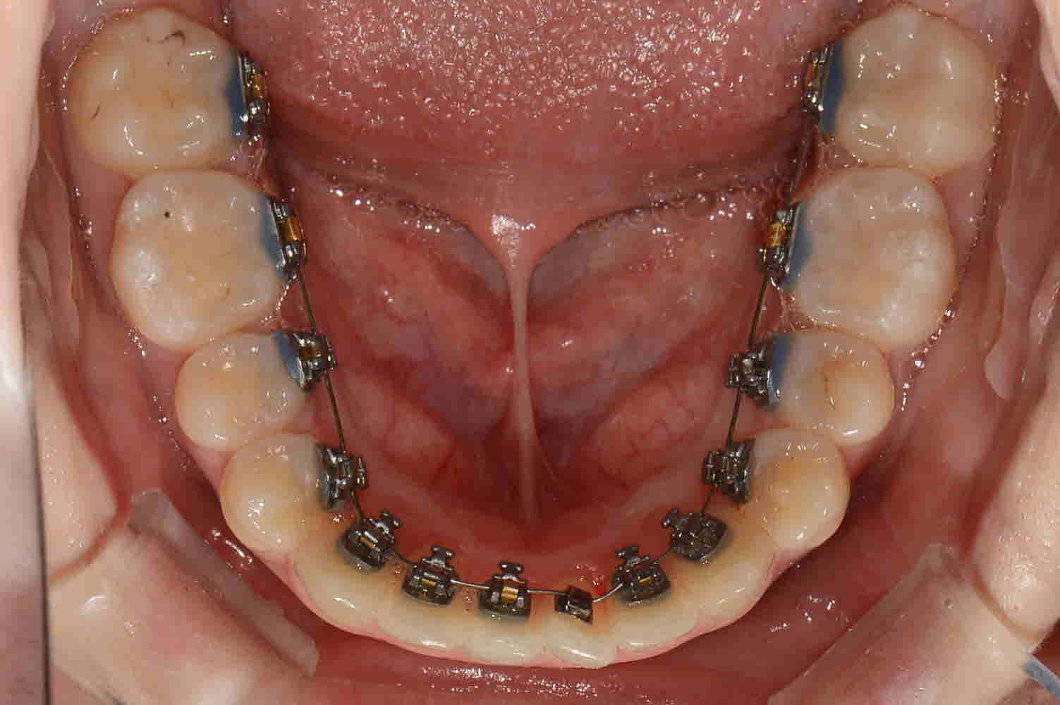
주위 사람들에게 교정하고 있는것을 알리고 싶지 않다면 설측 교정이 안성맞춤이죠. 이**님은 설측교정을 하면서 주위 사람에게 말하지 않으면 교정을 하고 있는줄 모른다며 남들 모르게 예뻐지는 것 같다고 좋아해주셔서 저희도 감사할 따름입니다. 남은 교정 기간도 서로 화이팅해 봅시다.
-
교정시작 정면
-
교정시작 측면
-
교정시작 교합면
-
2016년 2월 정면
-
2016년 2월 측면
-
2016년 2월 교합면
-
2016년 10월 정면
-
2016년 10월 측면
-
2016년 10월 교합면
-
교정 완료 정면
-
교정 완료 측면
-
교정 완료 교합면












