서울바른이 진행케이스
현재 서울바른이치과교정과에서 치료 중인 환자분들의 변화과정입니다.
치료에 자신이 있기 때문에 좋은 결과만을 선택적으로 보여드리지 않고, 사진제공에 동의하신 환자분들의 교정치료 사진 전체를 보여드립니다.
NEW 교정완료)고르지 못한 치아를 반듯하게!

- 이름
- 윤**(20대, 남)
- 치료명
- 교정치료
- 치료시작일
- 2015.12.18
- 치료종료일
- 2019.05.13
- 치료율
- 100%

주치의 장준규교정대표원장주치의소개
치료진행과정
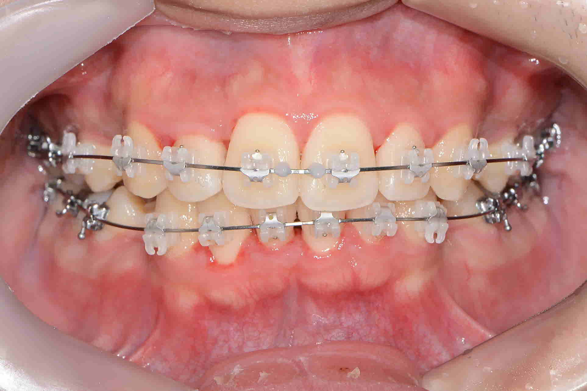
고르지 못한 치열을 해소하고자 내원한 큰키에 우직한 성품을 가지고 계신 윤**님! 경제성, 심미성을 고려하여 클리피씨 장치를 선택해주셨는데요! 점점 치열이 가지런해지고 환자분께서도 협조를 잘해주셔서 교정치료를 진행하기 수월해 감사합니다^^
-
교정시작 정면
-
교정시작 측면
-
교정시작 교합면
-
2016년 7월 정면
-
2016년 7월 측면
-
2016년 7월 교합면
-
2017년 8월 정면
-
2017년 8월 측면
-
2017년 8월 교합면
-
2018 년 4월 정면
-
2018 년 4월 측면
-
2018 년 4월 교합면
-
교정완료 정면
-
교정완료 측면
-
교정완료 교합면












