서울바른이 진행케이스
현재 서울바른이치과교정과에서 치료 중인 환자분들의 변화과정입니다.
치료에 자신이 있기 때문에 좋은 결과만을 선택적으로 보여드리지 않고, 사진제공에 동의하신 환자분들의 교정치료 사진 전체를 보여드립니다.
NEW 교정완료)덧니교정으로 진정한 미를 찾으세요!

- 이름
- 강**(20대, 남)
- 치료명
- 교정치료
- 치료시작일
- 2015.07.04
- 치료종료일
- 2017.07.14
- 치료율
- 100%

주치의 장준규교정대표원장주치의소개
치료진행과정
여자분들이 부러워할만한 크고 맑은 눈을 가지신 강**님! 삐뚤삐뚤한 치아때문에 고민이 많으셔서 내원해주셨습니다. 학교 다니시느라 바쁘실텐데도 지친 모습이 아닌 항상 활기찬 모습을 보며 저 자신에게도 화이팅을 외칩니다^^ 남은 교정 기간도 서로 서로 화이팅합시다!
-
교정시작 정면
-
교정시작 측면
-
교정시작 교합면
-
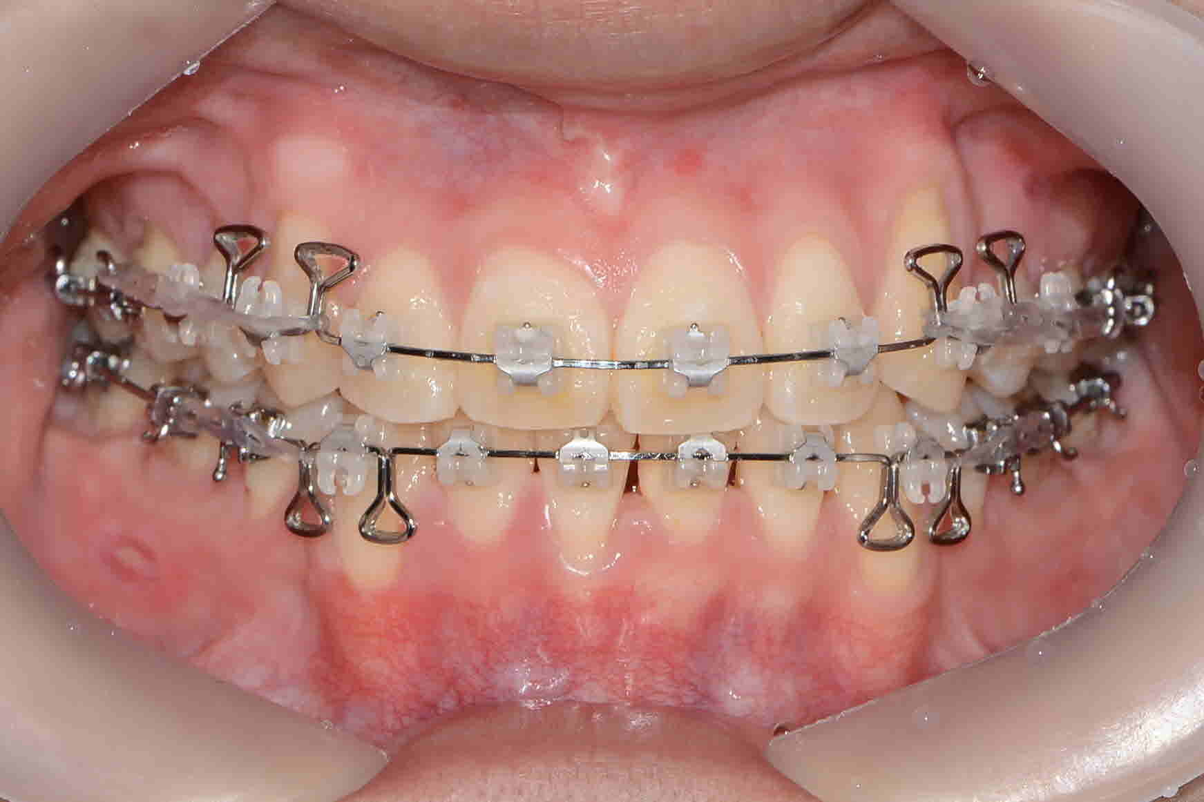
2016년 6월 정면
-
2016년 6월 측면
-
2016년 6월 교합면
-
2016년 10월 정면
-
2016년 10월 측면
-
2016년 10월 교합면
-
2017년 01월 정면
-
2017년 01월 측면
-
2017년 01월 교합면
-
교정완료 정면
-
교정완료 측면
-
교정완료 교합면












