서울바른이 진행케이스
현재 서울바른이치과교정과에서 치료 중인 환자분들의 변화과정입니다.
치료에 자신이 있기 때문에 좋은 결과만을 선택적으로 보여드리지 않고, 사진제공에 동의하신 환자분들의 교정치료 사진 전체를 보여드립니다.
NEW 교정완료)행복하자~♪ 아프지 말고~♬ 자이언티 마우스에서 탈출할래요!!

- 이름
- 함**(20대, 남)
- 치료명
- 교정치료
- 치료시작일
- 2015.06.11
- 치료종료일
- 2017.08.16
- 치료율
- 100%

주치의 장준규교정대표원장주치의소개
치료진행과정
2015년 6월 교정치료를 시작하신 함**님! 주위 분들에게 구강구조가 자이언티 닮았다는 놀림은 이제 그만!! 메탈/세라믹 교정장치로 내원하실때마다 스웩 넘치는 여유 있는 미소를 보여주고 계세요 . 저희 서울바른이치과 전직원이 더 좋은 결과를 위해 노력하겠습니다!
-
교정 시작 정면
-
교정 시작 측면
-
교정 시작 교합면
-
2015년 12월 정면
-
2015년 12월 측면
-
2015년 12월 교합면
-
2016년 4월 정면
-
2016년 4월 측면
-
2016년 4월 교합면
-
2016년 10월 정면
-
2016년 10월 측면
-
2016년 10월 교합면
-
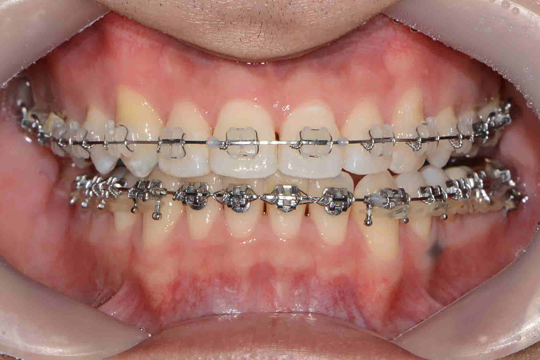
2017년 02월 정면
-
2017년 02월 측면
-
2017년 02월 교합면
-
2017년 4월 정면
-
2017년 04월 측면
-
2017년 04월 교합면
-
교정완료 17년8월 정면
-
교정완료 17년8월 측면
-
교정완료 17년8월 교합면












