서울바른이 진행케이스
현재 서울바른이치과교정과에서 치료 중인 환자분들의 변화과정입니다.
치료에 자신이 있기 때문에 좋은 결과만을 선택적으로 보여드리지 않고, 사진제공에 동의하신 환자분들의 교정치료 사진 전체를 보여드립니다.
NEW 교정완료)내 안에 숨어있는 덧니! 이젠 당당해질래요!

- 이름
- 김**(20대, 여)
- 치료명
- 교정치료
- 치료시작일
- 2015.11.03
- 치료종료일
- 2018.05.18
- 치료율
- 100%

주치의 장준규교정대표원장주치의소개
치료진행과정
입이 나온것 같고 윗쪽 어금니가 안으로 들어가 있어 교정치료를 결심하신 김**님! 환자분의 C.C에 맞게 발치교정을 진행중입니다. 지금도 예쁘시지만 교정치료 후의 모습을 생각하면 더욱 더 예뻐지실것 같아 기대가 큽니다^^
-
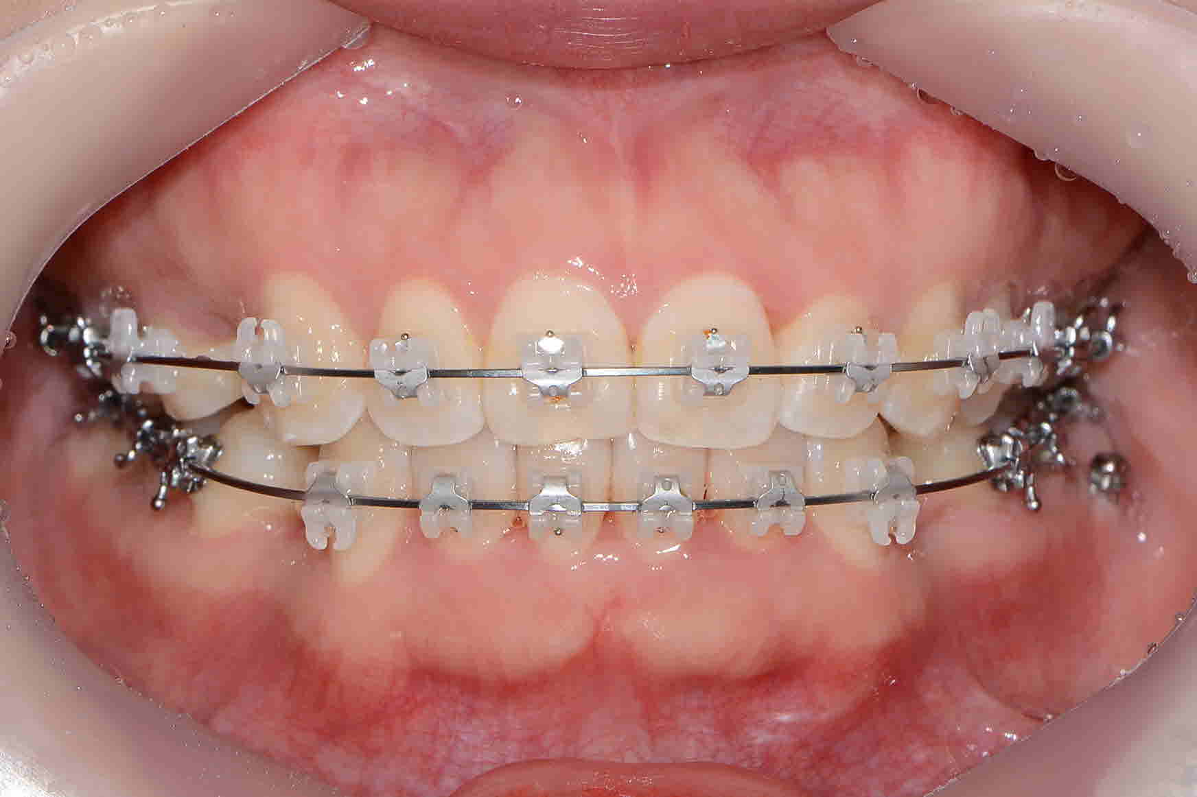
교정시작 정면
-
교정시작 측면
-
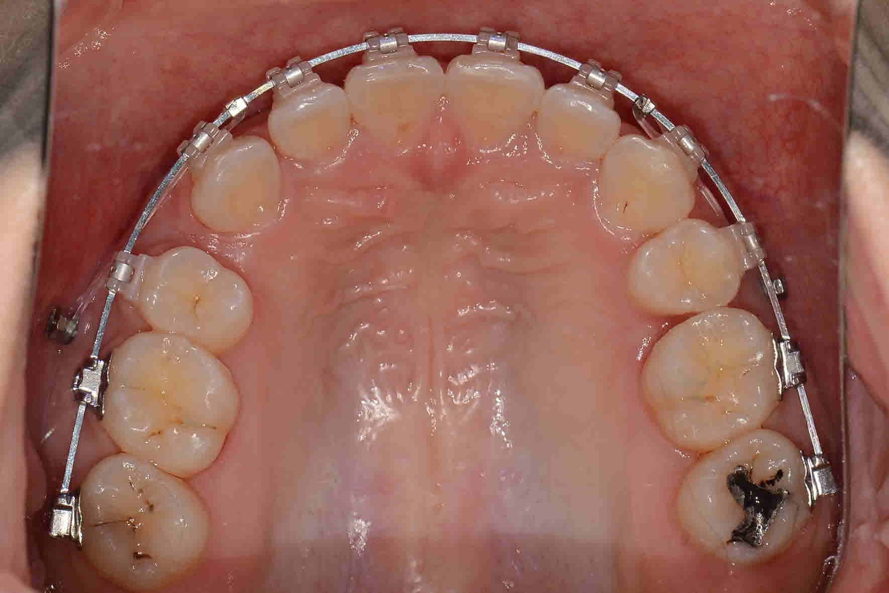
교정시작 교합면
-
2016년 5월 정면
-
2016년 5월 측면
-
2016년 5월 교합면
-
2017년 1월 정면
-
2017년 1월 측면
-
2017년 1월 교합면
-
교정완료 정면
-
교정완료 측면
-
교정완료 교합면












