서울바른이 진행케이스
현재 서울바른이치과교정과에서 치료 중인 환자분들의 변화과정입니다.
치료에 자신이 있기 때문에 좋은 결과만을 선택적으로 보여드리지 않고, 사진제공에 동의하신 환자분들의 교정치료 사진 전체를 보여드립니다.
NEW 교정완료)이제는 덧니와 작별해야 할 시간 ♪

- 이름
- 문**(10대, 남)
- 치료명
- 교정치료
- 치료시작일
- 2016.03.02
- 치료종료일
- 2017.11.22
- 치료율
- 100%

주치의 장준규교정대표원장주치의소개
치료진행과정
웃을때 보이는 덧니를 교정하고 싶어 내원해주신 문**님! 남성분이나 여성분들의 이상형은 웃는 모습이 아름답고 예쁜 사람을 선호하기에 문**님께 더욱 더 사랑스러운 사람으로 보일수 있도록 예쁜 치아와 예쁜 미소를 선물하려고 열심히 노력하는 중입니다^^
-
교정시작 정면
-
교정시작 측면
-
교정시작 교합면
-
2016년 7월 정면
-
2016년 7월 측면
-
2016년 7월 교합면
-
2016년 9월 정면
-
2016년 9월 측면
-
2016년 9월 교합면
-
2017년 04월 정면
-
2017년 04월 측면
-
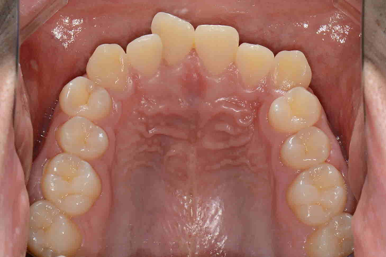
2017년 04월 교합면
-
교정완료 정면
-
교정완료 측면
-
교정완료 교합면












