서울바른이 진행케이스
현재 서울바른이치과교정과에서 치료 중인 환자분들의 변화과정입니다.
치료에 자신이 있기 때문에 좋은 결과만을 선택적으로 보여드리지 않고, 사진제공에 동의하신 환자분들의 교정치료 사진 전체를 보여드립니다.
NEW 교정완료)치아 사이의 벌어짐! 클리피씨 교정으로 해결!

- 이름
- 이**(20대, 남)
- 치료명
- 교정치료
- 치료시작일
- 2015.07.31
- 치료종료일
- 2018.02.07
- 치료율
- 100%

주치의 장준규교정대표원장주치의소개
치료진행과정
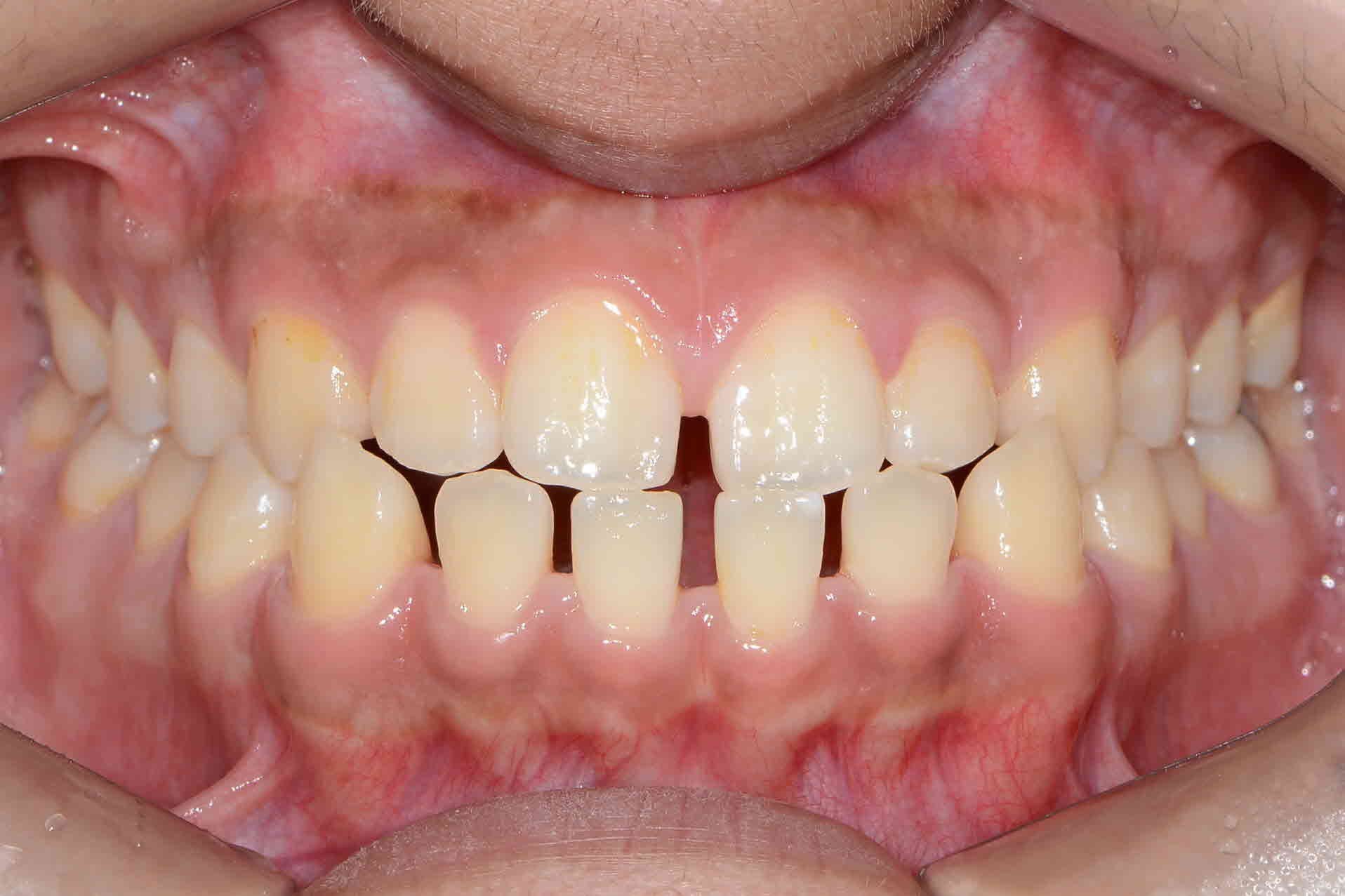
치아 사이 사이에 틈이 많아 이를 개선하고자 내원해주신 이**님! 치아 사이의 공간이 닫히는걸 보며 확연하게 이미지가 달라지셨다고 만족해주셔서 감사합니다^^ 이**님의 이미지를 더욱 더 좋게해드리기 위해 교정 끝나실때까지 긴장을 늦추지 않고 최선을 다하겠습니다.
-
교정시작 정면
-
교정시작 측면
-
교정시작 교합면
-
2016년 4월 정면
-
2016년 4월 측면
-
2016년 4월 교합면
-
2016년 8월 정면
-
2016년 8월 측면
-
2016년 8월 교합면
-
교정완료 정면
-
교정완료 측면
-
교정완료 교합면












