서울바른이 진행케이스
현재 서울바른이치과교정과에서 치료 중인 환자분들의 변화과정입니다.
치료에 자신이 있기 때문에 좋은 결과만을 선택적으로 보여드리지 않고, 사진제공에 동의하신 환자분들의 교정치료 사진 전체를 보여드립니다.
NEW 교정완료)어렸을때는 귀여웠던 덧니, 이제는 골칫거리 덧니...♨

- 이름
- 임**(20대, 남)
- 치료명
- 교정치료
- 치료시작일
- 2015.11.20
- 치료종료일
- 2017.11.29
- 치료율
- 100%

주치의 장준규교정대표원장주치의소개
치료진행과정
남자다운 모습, 귀엽고 앙증맞은 모습을 다 가지고 계신 임**님! 어렸을적에는 잘 몰랐지만 사회로 나오면서 컴플렉스의 주된 원인이 었던 덧니때문에 내원해주셨는데요! 임**님께서 더 이상 스트레스 받지 않으시도록 교정치료를 통해 덧니를 완전히 해결해드리겠습니다.
-
교정시작 정면
-
교정시작 측면
-
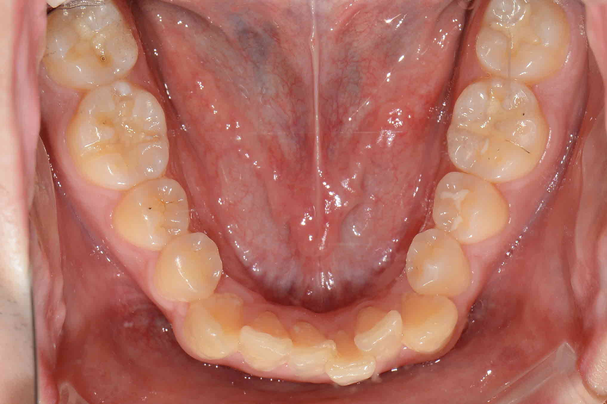
교정시작 교합면
-
2016년 9월 정면
-
2016년 9월 측면
-
2016년 9월 교합면
-
2017년 02월 정면
-
2017년 02월 측면
-
2017년 02월 교합면
-
2017년 06월 정면
-
2017년 06월 측면
-
2017년 06월 교합면
-
교정완료 정면
-
교정완료 측면
-
교정완료 교합면












