서울바른이 진행케이스
현재 서울바른이치과교정과에서 치료 중인 환자분들의 변화과정입니다.
치료에 자신이 있기 때문에 좋은 결과만을 선택적으로 보여드리지 않고, 사진제공에 동의하신 환자분들의 교정치료 사진 전체를 보여드립니다.
NEW 교정완료)어금니 부분교정 - 쓰러져있는 어금니를 바로 세우고 싶어요!

- 이름
- 이**(20대, 남)
- 치료명
- 교정치료
- 치료시작일
- 2015.10.26
- 치료종료일
- 2017.09.28
- 치료율
- 100%

주치의 장준규교정대표원장주치의소개
치료진행과정
맨 뒷쪽 어금니가 쓰러져있어 바로 세우려고 내원해주신 이**님! 부분 교정으로 환자분의 내원 동기에 맞게 교정치료가 진행중입니다. 오뚜기처럼 쓰러졌던 치아가 다시 일어나는 날까지 화이팅!!
-
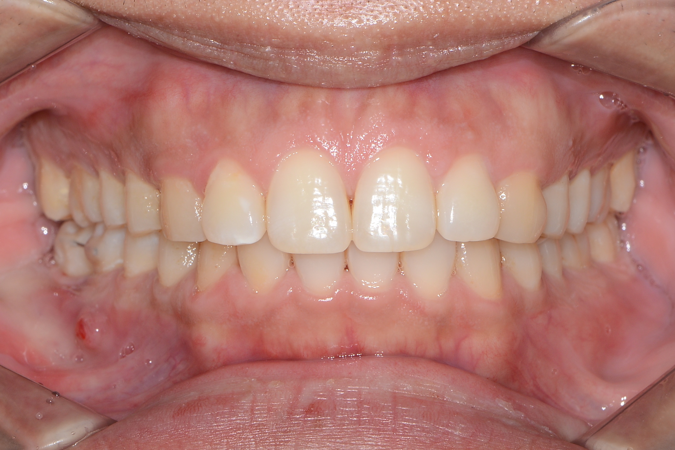
교정시작 정면
-
교정시작 측면
-
교정시작 교합면
-
2016년 05월 정면
-
2016년 05월 측면
-
2016년 05월 교합면
-
2016년 9월 정면 교정완료
-
2016년 9월 측면 교정완료
-
2016년 9월 교합면면 교정완료












