서울바른이 진행케이스
현재 서울바른이치과교정과에서 치료 중인 환자분들의 변화과정입니다.
치료에 자신이 있기 때문에 좋은 결과만을 선택적으로 보여드리지 않고, 사진제공에 동의하신 환자분들의 교정치료 사진 전체를 보여드립니다.
NEW 교정완료)설상가상인 덧니와 개방교합을 교정치료로 한번에!

- 이름
- 원**(10대, 남)
- 치료명
- 교정치료
- 치료시작일
- 2015.12.28
- 치료종료일
- 2018.08.03
- 치료율
- 100%

주치의 장준규교정대표원장주치의소개
치료진행과정
식사를 할때 늘 불편했던 맞물리지 않는 앞니와 웃으면 너무나 잘보이는 덧니로 인해 내원해주신 원**님! 학교 다니느라 늘 바쁘고 지칠텐데 치과에 오는 날이면 눈을 말똥 말똥 크게 뜬채로 궁금한것도 많고 관심도 많이 가져주는 원**님 덕분에 저도 으쌰으쌰 힘을냅니다.
-
교정시작 정면
-
교정시작 측면
-
교정시작 교합면
-
2016년 9월 정면
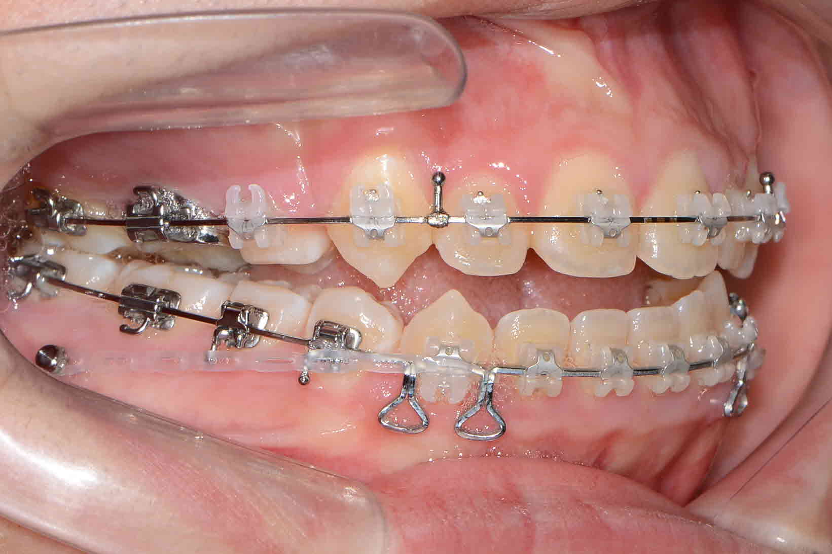
-
2016년 9월 측면
-
2016년 9월 교합면
-
2016년 11월 정면
-
2016년 11월 측면
-
2016년 11월 교합면
-
2017 년 12월 정면
-
2017년 12월 측면
-
2017년 12월 교합면
-
2018 년 5월 정면
-
2018 년 5월 측면
-
2018 년 5월 교합면
-
교정완료 정면
-
교정완료 측면
-
교정완료 교합면












