서울바른이 진행케이스
현재 서울바른이치과교정과에서 치료 중인 환자분들의 변화과정입니다.
치료에 자신이 있기 때문에 좋은 결과만을 선택적으로 보여드리지 않고, 사진제공에 동의하신 환자분들의 교정치료 사진 전체를 보여드립니다.
NEW 교정완료)서울바른이치과의 똑바른 치아교정!

- 이름
- 최**(20대, 여)
- 치료명
- 교정치료
- 치료시작일
- 2016.02.11
- 치료종료일
- 2017.08.30
- 치료율
- 100%

주치의 장준규교정대표원장주치의소개
치료진행과정
언니분이 먼저 교정치료를 시작하시고 같이오셨다가 평소에 신경쓰였던 살짝 삐뚤거리는 치아때문에 교정을 시작하게 되신 최**님! 오실때마다 유쾌하게 웃어주시고 교정진료에도 협조적으로 해주셔서 교정진료가 수월한것 같습니다^^협조 해주시는 만큼 교정진료로 보답하겠습니다.
-
교정시작 정면
-
교정시작 측면
-
교정시작 교합면
-
2016년 8월 정면
-
2016년 8월 측면
-
2016년 8월 교합면
-
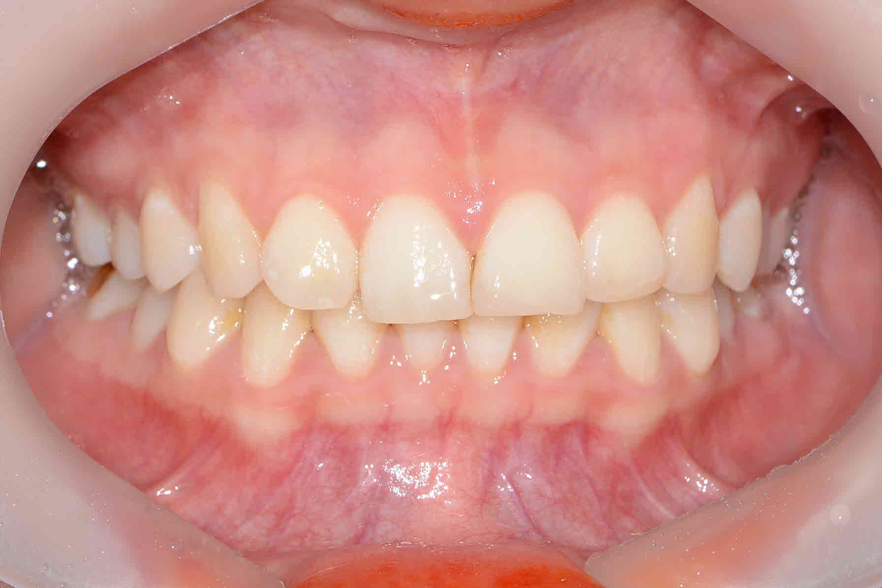
17년 8월 교정완료 정면
-
17년 8월 교정완료 측면
-
17년 8월 교정완료 교합면












