서울바른이 진행케이스
현재 서울바른이치과교정과에서 치료 중인 환자분들의 변화과정입니다.
치료에 자신이 있기 때문에 좋은 결과만을 선택적으로 보여드리지 않고, 사진제공에 동의하신 환자분들의 교정치료 사진 전체를 보여드립니다.
NEW 교정완료)나비 모양의 앞니 치아교정

- 이름
- 고**(20대, 여)
- 치료명
- 교정치료
- 치료시작일
- 2016.06.10
- 치료종료일
- 2018.03.30
- 치료율
- 100%

주치의 장준규교정대표원장주치의소개
치료진행과정
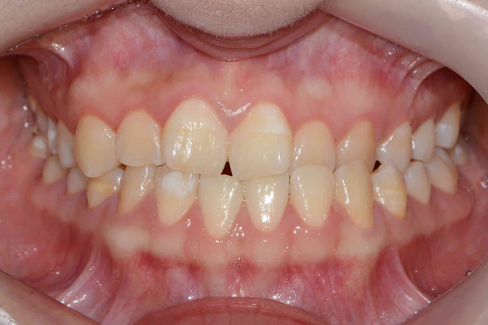
V자형의 일명 "나비 모양"치아를 가지고 계신 고**님! 웃을때 제일 많이 신경쓰이게 되서 교정이라는 큰 결심을 해주셨습니다! 아직 가야할 길이 많이 남았지만 지금처럼 교정의 필요성에 대한 초심을 잃지 마시고 끝까지 화이팅합시다.
-
교정시작 정면
-
교정시작 측면
-
교정시작 교합면
-
2016년 9월 정면
-
2016년 9월 측면
-
2016년 9월 교합면
-
2017년 1월 정면
-
2017년 1월 측면
-
2017년 1월 교합면
-
2017년 7월 정면
-
2017년 7월 측면
-
2017년 7월 교합면
-
교정완료 정면
-
교정완료 측면
-
교정완료 교합면












