서울바른이 진행케이스
현재 서울바른이치과교정과에서 치료 중인 환자분들의 변화과정입니다.
치료에 자신이 있기 때문에 좋은 결과만을 선택적으로 보여드리지 않고, 사진제공에 동의하신 환자분들의 교정치료 사진 전체를 보여드립니다.
NEW 교정완료)덧니교정하고 맘편히 웃어요!

- 이름
- 장**(20대, 남)
- 치료명
- 교정치료
- 치료시작일
- 2016.02.29
- 치료종료일
- 2019.12.28
- 치료율
- 100%

주치의 장준규교정대표원장주치의소개
치료진행과정
웃을때마다 보이는 송곳니의 유난스런 뻐드러짐때문에 이를 개선하고자 병원에 내원해주신 장**님입니다. 남들이 봤을때는 그다지 신경이 쓰이지 않아도 본인에게는 극심한 스트레스이자 고치고 싶은것 중 하나라 생각이 들어 고민을 해결해드리고자 교정진료에 최선을 다해 힘쓰고 있습니다.
-
교정시작 정면
-
교정시작 측면
-
교정시작 교합면
-
2016년 9월 정면
-
2016년 9월 측면
-
2016년 9월 교합면
-
2017년 4월 정면
-
2017년 4월 측면
-
2017년 4월 교합면
-
2017년 12월 정면
-
2017년 12월 측면
-
2017년 12월 교합면
-
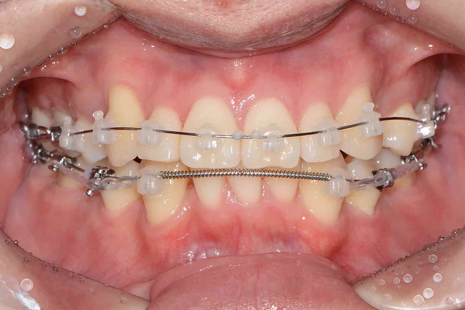
2018 년 3월 정면
-
2018 년 3월 측면
-
2018 년 3월 교합면
-
2018 년 9월 정면
-
2018 년 9월 측면
-
2018 년 9월 교합면
-
교정완료 정면
-
교정완료 측면
-
교정완료 교합면












