서울바른이 진행케이스
현재 서울바른이치과교정과에서 치료 중인 환자분들의 변화과정입니다.
치료에 자신이 있기 때문에 좋은 결과만을 선택적으로 보여드리지 않고, 사진제공에 동의하신 환자분들의 교정치료 사진 전체를 보여드립니다.
NEW 교정완료)덧니 교정 ? 고민 고민 하지마 Girl ♪

- 이름
- 홍**(20대, 여)
- 치료명
- 교정치료
- 치료시작일
- 2016.02.15
- 치료종료일
- 2019.01.04
- 치료율
- 100%

주치의 장준규교정대표원장주치의소개
치료진행과정
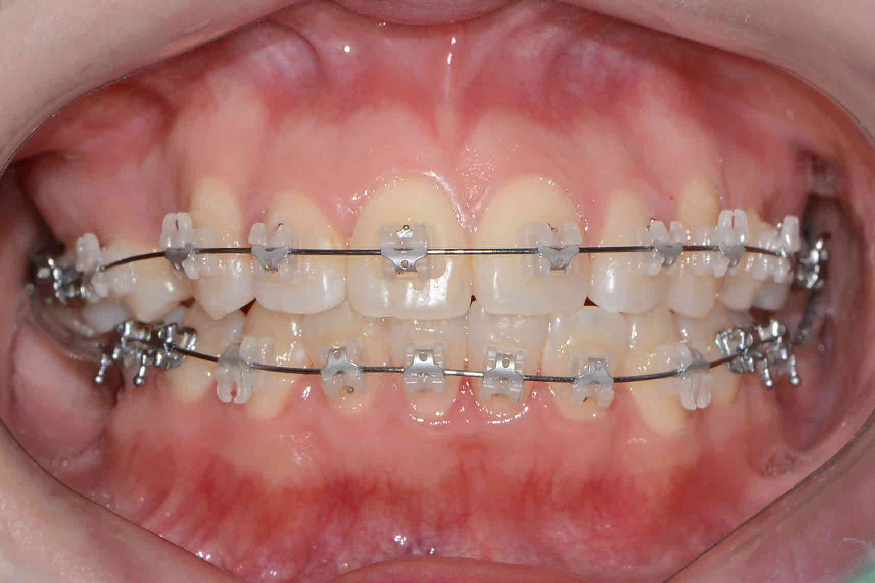
충치로 인해 몇개의 치아를 상실한 상태와 고르지 못한 치아때문에 밖에서 제대로 활짝 웃으실수 없어 내원해주신 홍**님! 교정치료를 통해 치아 배열을 가지런히 하고 치아 상실한 부분은 교정완료 후에 임플란트를 할 예정입니다. 상태가 더 늦기전에 용기내어 찾아주셔서 감사합니다. 그 용기에 대한 보답은 만족하실 만한 치아교정으로 보여드리겠습니다.
-
교정시작 정면
-
교정시작 측면
-
교정시작 교합면
-
2016년 5월 정면
-
2016년 5월 측면
-
2016년 5월 교합면
-
2016년 10월 정면
-
2016년 10월 측면
-
2016년 10월 교합면
-
2017년 5월 정면
-
2017년 5월 측면
-
2017년 5월 교합면
-
2017년 8월 정면
-
2017년 8월 측면
-
2017년 8월 교합면
-
2018 년 8월 정면
-
2018 년 8월 측면
-
2018 년 8월 교합면
-
교정완료 정면
-
교정완료 측면
-
교정완료 교합면












