서울바른이 진행케이스
현재 서울바른이치과교정과에서 치료 중인 환자분들의 변화과정입니다.
치료에 자신이 있기 때문에 좋은 결과만을 선택적으로 보여드리지 않고, 사진제공에 동의하신 환자분들의 교정치료 사진 전체를 보여드립니다.
NEW 교정완료)해피 엔딩 치아교정은 서울바른이치과에서!

- 이름
- 남**(10대, 여)
- 치료명
- 교정치료
- 치료시작일
- 2016.05.25
- 치료종료일
- 2018.05.15
- 치료율
- 100%

주치의 장준규교정대표원장주치의소개
치료진행과정
귀여운 외모에 걸맞게 귀여운 덧니를 가지고 병원에 내원해주신 남**님! 이젠 귀여운 덧니에서 벗어나 가지런하고 예쁜 치아를 갖고 싶어 교정치료를 진행하게 되었습니다. 내원해주실때 교복과 체육복을 입고 웃으면서 헐레벌떡 오시는 모습을 보니 저 또한 학창시절이 생각나 절로 미소가 지어네요^^ 교정 마무리 될때까지 지금처럼 항상 밝은 모습 기대하겠습니다.
-
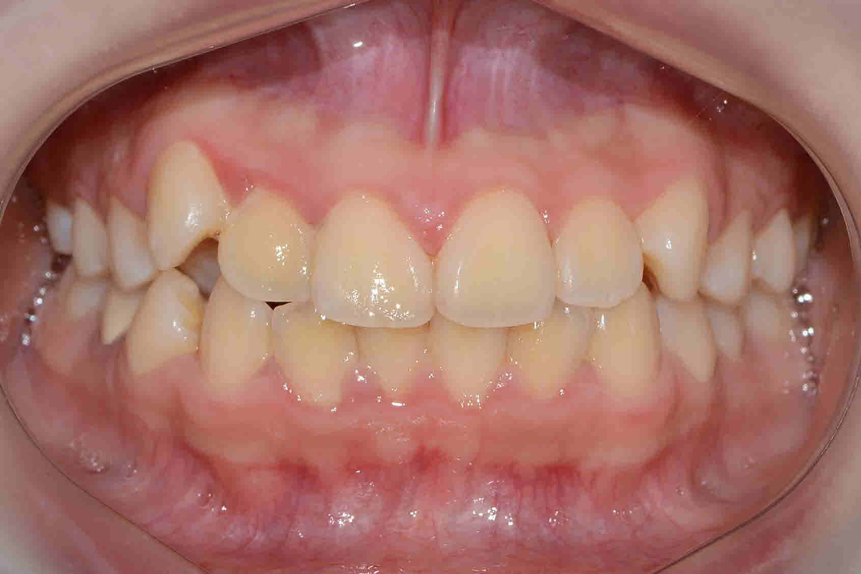
교정시작 정면
-
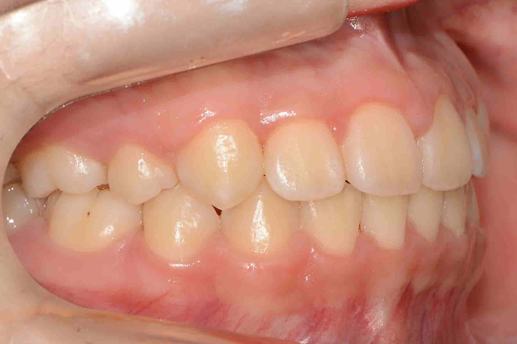
교정시작 측면
-
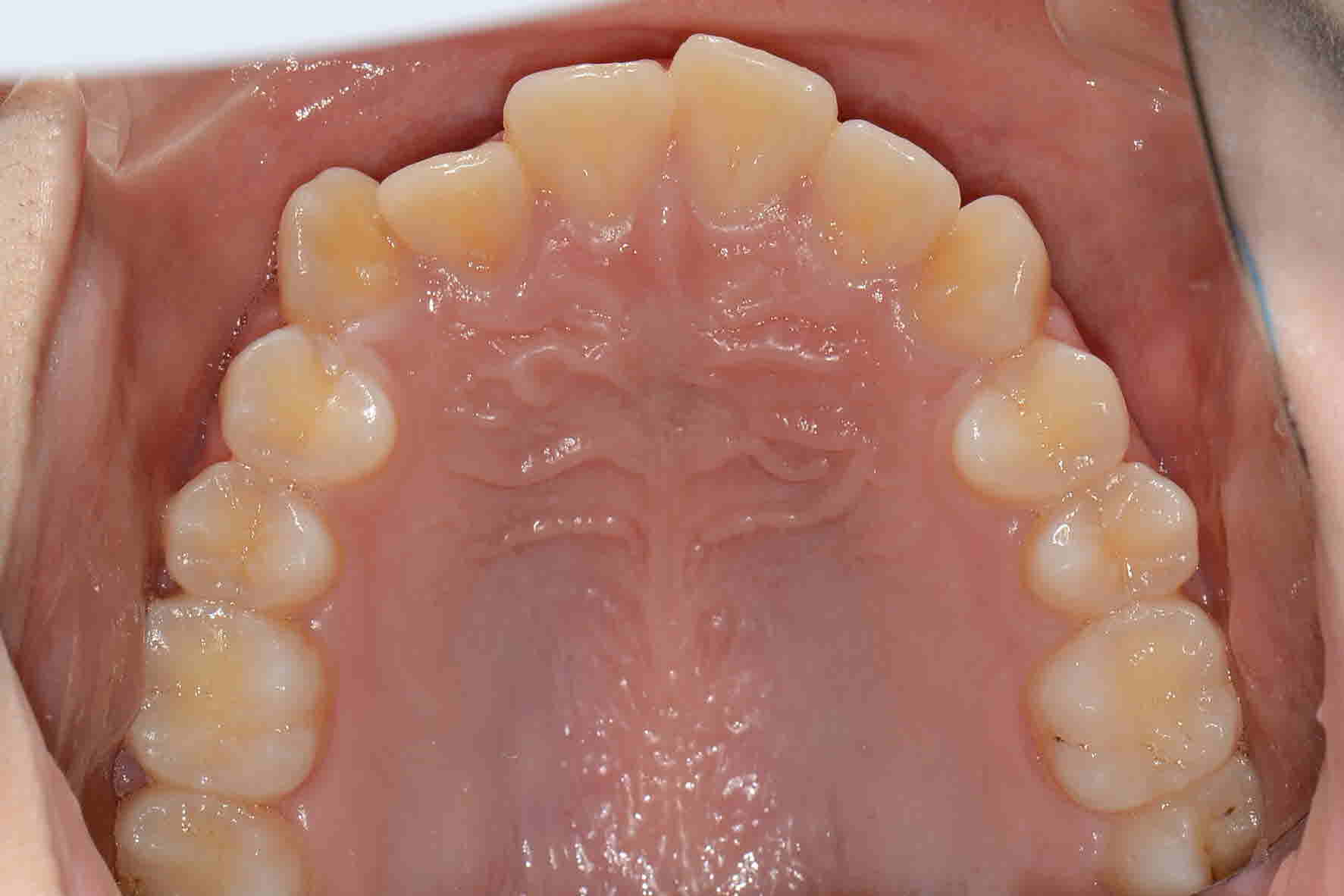
교정시작 교합면
-
2017년 1월 정면
-
2017년 1월 측면
-
2017년 1월 교합면
-
2017년 06월 정면
-
2017년 06월 측면
-
2017년 06월 교합면
-
2017년 7월 정면
-
2017년 7월 측면
-
2017년 7월 교합면
-
교정완료 정면
-
교정완료 측면
-
교정완료 교합면












