서울바른이 진행케이스
현재 서울바른이치과교정과에서 치료 중인 환자분들의 변화과정입니다.
치료에 자신이 있기 때문에 좋은 결과만을 선택적으로 보여드리지 않고, 사진제공에 동의하신 환자분들의 교정치료 사진 전체를 보여드립니다.
NEW 교정완료) 현빈처럼 가지런한 치아를 원한다면 서울바른이치과와 공.조합시다!

- 이름
- 김**(20대, 남)
- 치료명
- 교정치료
- 치료시작일
- 2016.07.02
- 치료종료일
- 2018.01.16
- 치료율
- 100%

주치의 장준규교정대표원장주치의소개
치료진행과정
훤칠한 키에 현빈만큼이나 매력적인 외모를 가지신 김**님! 치아 사이가 벌어져 있어 웃을때마다 신경쓰이셔서 이를 개선하고자 내원해주셨습니다. 환자분의 내원동기에 맞게 개미조차도 들어갈 구멍이 안보이도록 빈틈도 없는 가지런한 치아를 선물하겠습니다.
-
교정시작 정면
-
교정시작 측면
-
교정시작 교합면
-
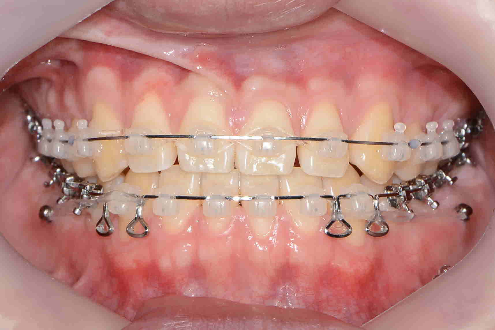
2017년 1월 정면
-
2017년 1월 측면
-
2017년 1월 교합면
-
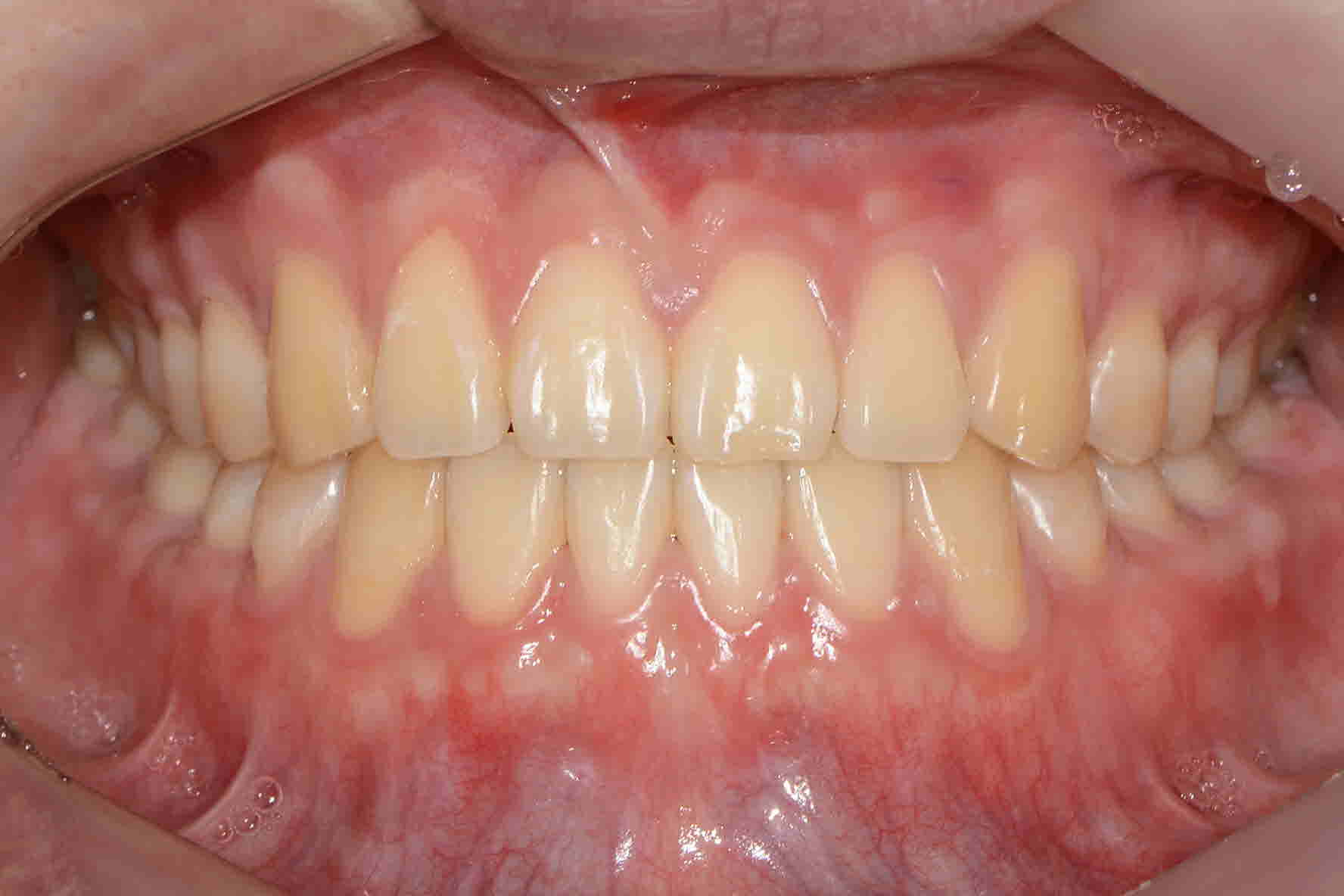
교정완료 정면
-
교정완료 측면
-
교정완료 교합면












