서울바른이 진행케이스
현재 서울바른이치과교정과에서 치료 중인 환자분들의 변화과정입니다.
치료에 자신이 있기 때문에 좋은 결과만을 선택적으로 보여드리지 않고, 사진제공에 동의하신 환자분들의 교정치료 사진 전체를 보여드립니다.
NEW 교정완료)내 치아에도 힐링이 필요하다면, 서울바른이치과로 오세요!

- 이름
- 황**(10대, 남)
- 치료명
- 교정치료
- 치료시작일
- 2016.08.16
- 치료종료일
- 2018.11.23
- 치료율
- 100%

주치의 장준규교정대표원장주치의소개
치료진행과정
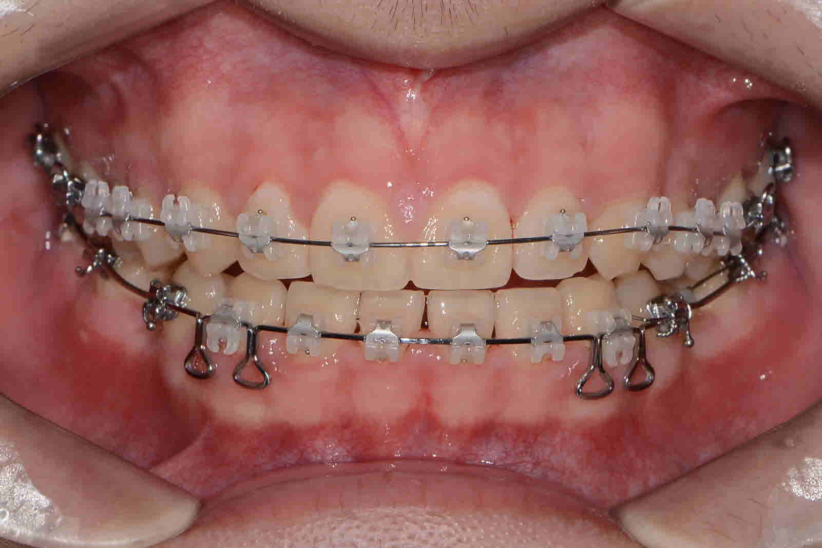
제대로 맞물리지 않는 치아와 유치가 남아있어 영구치가 올라오지 않아 교정이 필요한지 내원해주신 황**님! 오른쪽 아래 두번째 작은어금니는 결손되었지만 왼쪽아래 두번째 작은어금니는 매복 되어있어 매복 되어있는 치아를 밖으로 꺼내는 치료를 하고 계십니다. 교정 끝날때까지 서로 화이팅 합시다!!
-
교정시작 정면
-
교정시작 측면
-
교정시작 교합면
-
2017년 1월 정면
-
2017년 1월 측면
-
2017년 1월 측면
-
2017년 07월 정면
-
2017년 07월 측면
-
2017년 07월 교합면
-
교정완료 정면
-
교정완료 측면
-
교정완료 교합면












