서울바른이 진행케이스
현재 서울바른이치과교정과에서 치료 중인 환자분들의 변화과정입니다.
치료에 자신이 있기 때문에 좋은 결과만을 선택적으로 보여드리지 않고, 사진제공에 동의하신 환자분들의 교정치료 사진 전체를 보여드립니다.
NEW 교정완료)영롱하고 깨끗한 장치, 너의 이름은?

- 이름
- 이**(30대, 여)
- 치료명
- 교정치료
- 치료시작일
- 2016.06.14
- 치료종료일
- 2019.02.20
- 치료율
- 100%

주치의 장준규교정대표원장주치의소개
치료진행과정
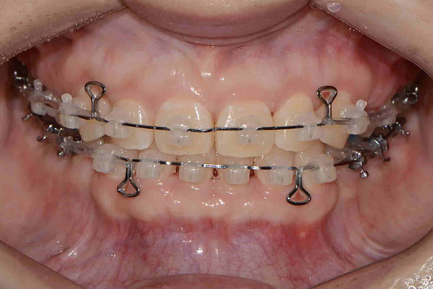
교정을 하러 오신 환자분 개개인마다 장치를 택하시는 기준이 다른데 이**님께서는 티가 많이 나지 않고 깨끗해보이는 "데이몬"장치를 택하셨습니다.^^ 교정치료를 진행하는 동안에도 장치 주변에 음식물이 끼지 않도록 항상 열심히 관리해주셔서 감사할 따름입니다. 고르신 데이몬 장치처럼 투명하고 예쁜 치아로 거듭날수 있도록 노력하겠습니다.
-
교정시작 정면
-
교정시작 측면
-
교정시작 교합면
-
2016년 12월 정면
-
2016년 12월 측면
-
2016년 12월 교합면
-
2017년 06월 정면
-
2017년 06월 측면
-
2017년 06월 교합면
-
2017년 12월 정면
-
2017년 12월 측면
-
2017년 12월 교합면
-
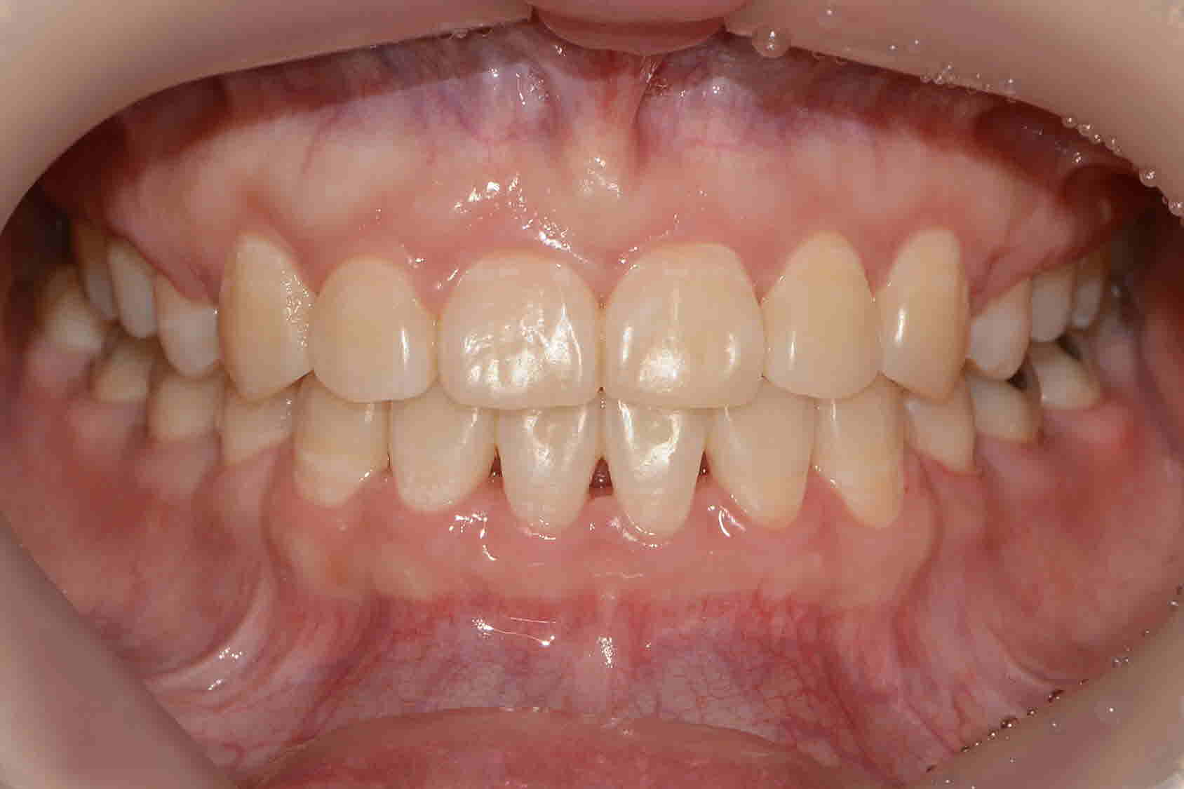
교정완료 정면
-
교정완료 측면
-
교정완료 교합면












