서울바른이 진행케이스
현재 서울바른이치과교정과에서 치료 중인 환자분들의 변화과정입니다.
치료에 자신이 있기 때문에 좋은 결과만을 선택적으로 보여드리지 않고, 사진제공에 동의하신 환자분들의 교정치료 사진 전체를 보여드립니다.
NEW 교정완료) 벌어진 치아를 가지런한 치아로 균형감 있게!

- 이름
- 강*(20대, 남)
- 치료명
- 교정치료
- 치료시작일
- 2016.02.15
- 치료종료일
- 2018.08.31
- 치료율
- 100%

주치의 장준규교정대표원장주치의소개
치료진행과정
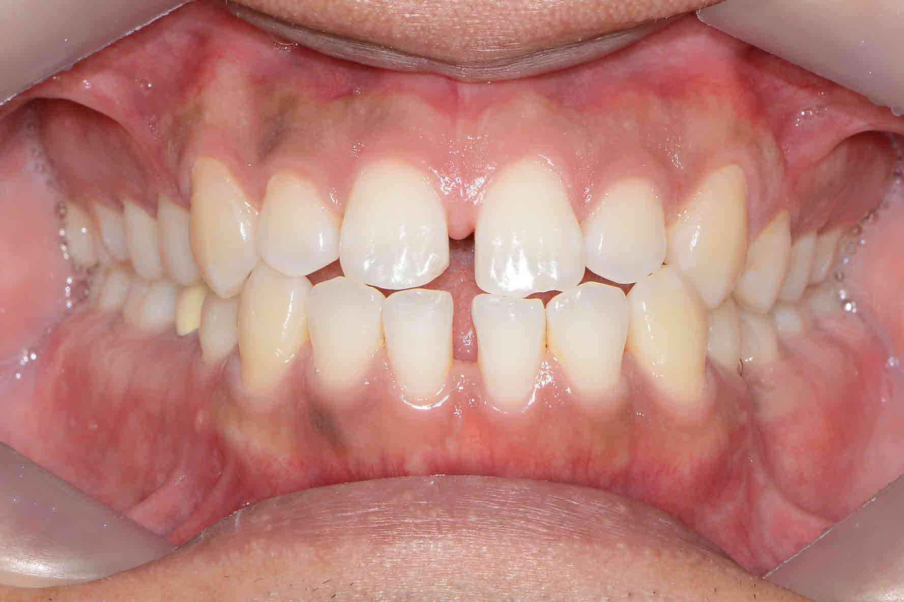
듬성 듬성 벌어져있는 치아때문에 여러가지로 스트레스를 받으셔서 이를 개선하고자 내원해주신 강*님! 치아때문에 웃거나 생활하시는데 거슬리지 않도록 벌어져있는 치아들을 말끔하게 모아드리겠습니다^^
-
2016년 02월 정면
-
2016년 02월 측면
-
2016년 02월 교합면
-
2017년 06월 정면
-
2017년 06월 측면
-
2017년 06월 교합면
-
교정완료 정면
-
교정완료 측면
-
교정완료 교합면












