서울바른이 진행케이스
현재 서울바른이치과교정과에서 치료 중인 환자분들의 변화과정입니다.
치료에 자신이 있기 때문에 좋은 결과만을 선택적으로 보여드리지 않고, 사진제공에 동의하신 환자분들의 교정치료 사진 전체를 보여드립니다.
NEW 교정완료) 클리피씨 교정으로 꽃길만 걷자!

- 이름
- 이**(30대, 여)
- 치료명
- 교정치료
- 치료시작일
- 2015.10.19
- 치료종료일
- 2018.01.23
- 치료율
- 100%

주치의 장준규교정대표원장주치의소개
치료진행과정
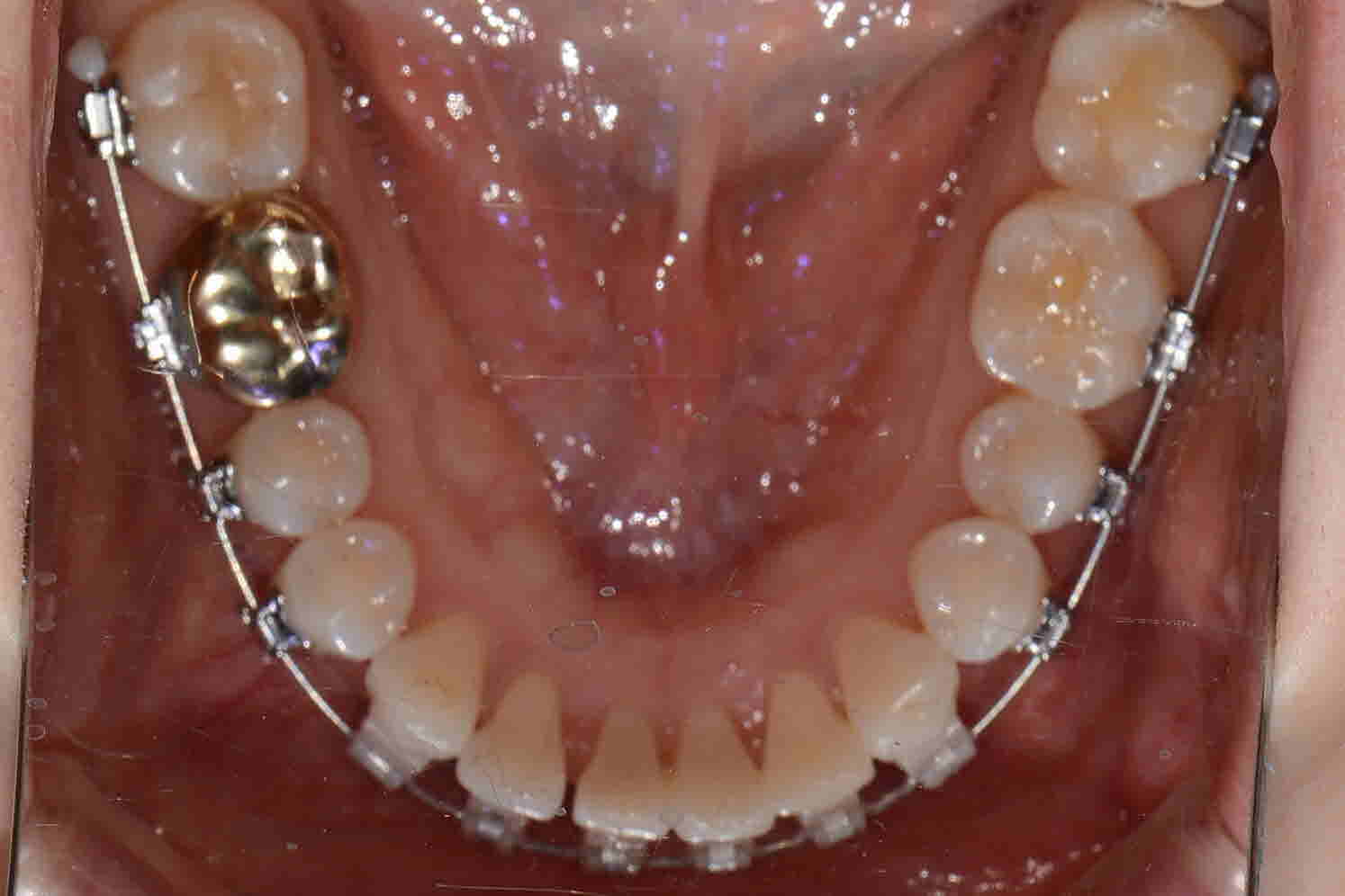
송곳니가 매복되어 있고 송곳니 자리에 유치가 남아있어 저희 서울바른이치과 교정과를 찾아주신 이**님! 매복 되어 있는 송곳니를 유치가 있던 원래의 송곳니 자리로 내리는 치관노출술을 진행하여 교정을 하고 계십니다. 송곳니를 꺼내어 원래의 역할을 할 수 있도록 최선을 다하겠습니다.
-
교정시작 정면
-
교정시작 측면
-
교정시작 교합면
-
2017년 03월 정면
-
2017년 03월 측면
-
2017년 03월 교합면
-
교정완료 정면
-
교정완료 측면
-
교정완료 교합면












