서울바른이 진행케이스
현재 서울바른이치과교정과에서 치료 중인 환자분들의 변화과정입니다.
치료에 자신이 있기 때문에 좋은 결과만을 선택적으로 보여드리지 않고, 사진제공에 동의하신 환자분들의 교정치료 사진 전체를 보여드립니다.
NEW 교정완료)깨지고 삐뚤빼뚤한 치아 , 자신있게 웃고싶어요

- 이름
- 강**(20대, 남)
- 치료명
- 교정치료
- 치료시작일
- 2015.09.11
- 치료종료일
- 2019.02.18
- 치료율
- 100%

주치의 장준규교정대표원장주치의소개
치료진행과정
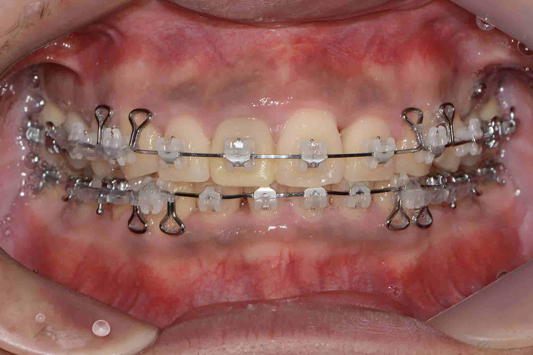
덧니때문에 교정목적으로 내원하신 강**님, 사실 교정치료보다 시급했던것은 잇몸치료였어요~ 잇몸치료 잘 따라와주시고 양치질도 열심히 하셔서 지금은 건강한 잇몸으로 회복중이랍니다 ^ ^ 앞으로 남은 교정기간도 최고의 진료로 보답하겠습니다 !
-
교정시작 정면
-
교정시작 측면
-
교정시작 교합면
-
2016년 6월 정면
-
2016년 6월 측면
-
2016년 6월 교합면
-
2016년 10월 정면
-
2016년 10월 측면
-
2016년 10월 교합면
-
2017년 05월 정면
-
2017년 05월 측면
-
2017년 05월 교합면
-
2017년 07월 정면
-
2017년 07월 측면
-
2017년 07월 교합면
-
교정완료 정면
-
교정완료 측면
-
교정완료 교합면












