서울바른이 진행케이스
현재 서울바른이치과교정과에서 치료 중인 환자분들의 변화과정입니다.
치료에 자신이 있기 때문에 좋은 결과만을 선택적으로 보여드리지 않고, 사진제공에 동의하신 환자분들의 교정치료 사진 전체를 보여드립니다.
NEW 8월 update) 덧니에는 데이몬 장치가 하태핫태!

- 이름
- 김**(20대, 여)
- 치료명
- 교정치료
- 치료시작일
- 2016.08.23
- 치료종료일
- 2020.07.20
- 치료율
- 100%

주치의 장준규교정대표원장주치의소개
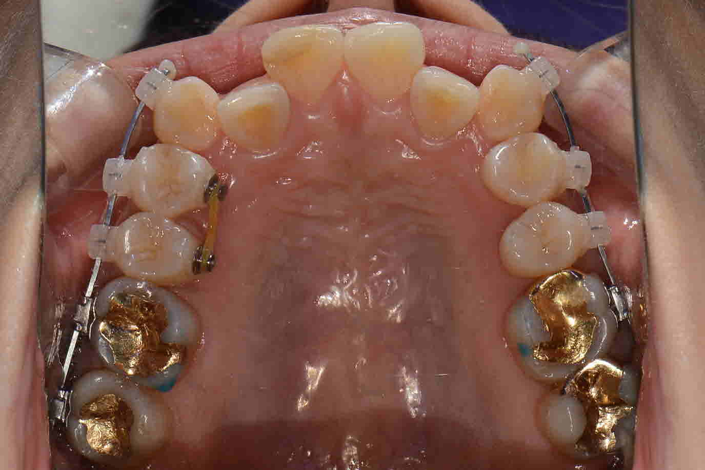
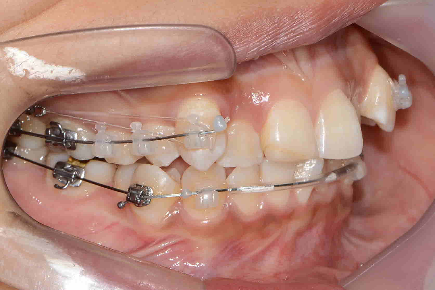
치료진행과정
튀어 나와 있는 송곳니 덧니와 입이 조금 더 들어갔으면 하는 바램을 가지고 내원해주신 김**님! 발치교정을 통해 삐뚤거리는 치아는 가지런하게, 돌출입은 자연스럽고 옆 라인이 예쁠 수 있도록 교정치료를 진행해드렸습니다. 교정 중 임신과 출산으로 인해 장기간 내원을 못하셨지만 마무리가 예쁘게 잘 되어 감사하다고 거듭 말씀해주셔서 더욱 더 힘이납니다^^
-
교정시작 정면
-
교정시작 측면
-
교정시작 교합면
-
2016년 12월 정면
-
2016년 12월 측면
-
2016년 12월 교합면
-
2017년 2월 정면
-
2017년 2월 측면
-
2017년 2월 교합면
-
2017년 07월 정면
-
2017년 07월 측면
-
2017년 07월 교합면
-
2018 년 6월 정면
-
2018 년 6월 측면
-
2018 년 6월 교합면
-
교정완료 정면
-
교정완료 측면
-
교정완료 교합면












