서울바른이 진행케이스
현재 서울바른이치과교정과에서 치료 중인 환자분들의 변화과정입니다.
치료에 자신이 있기 때문에 좋은 결과만을 선택적으로 보여드리지 않고, 사진제공에 동의하신 환자분들의 교정치료 사진 전체를 보여드립니다.
NEW 교정완료)덧니 교정 잘하는 서울바른이치과, 이거 실화냐?

- 이름
- 김**(10대, 남)
- 치료명
- 교정치료
- 치료시작일
- 2017.02.03
- 치료종료일
- 2019.06.21
- 치료율
- 100%

주치의 장준규교정대표원장주치의소개
치료진행과정
삐뚤거리는 치아에 장치를 붙이고 철사를 넣었더니 마법처럼 치아가 가지런해진다고 신기해 하시던 김**님! 커서 돌이켜 봤을때 추억이 가장 많을 학생신분을 가지고 계신 김**님이 친구들과의 사진속에 더 나은 모습으로 담길수 있도록 멋진 모습을 선사하겠습니다.
-
교정시작 정면
-
교정시작 측면
-
교정시작 교합면
-
2017년 06월 정면
-
2017년 06월 측면
-
2017년 06월 교합면
-
2017년 9월 정면
-
2017년 9월 측면
-
2017년 9월 교합면
-
2018 년 4월 정면
-
2018 년 4월 측면
-
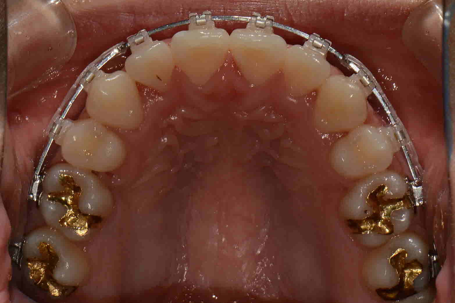
2018 년 4월 교합면
-
2018 년 9월 정면
-
2018 년 9월 측면
-
2018 년 9월 교합면
-
교정완료 정면
-
교정완료 측면
-
교정완료 교합면












