서울바른이 진행케이스
현재 서울바른이치과교정과에서 치료 중인 환자분들의 변화과정입니다.
치료에 자신이 있기 때문에 좋은 결과만을 선택적으로 보여드리지 않고, 사진제공에 동의하신 환자분들의 교정치료 사진 전체를 보여드립니다.
NEW 교정완료)치킨은 양념반 후라이드반이 진리! 반반 콤비교정으로 만족도 up!

- 이름
- 최**(20대, 여)
- 치료명
- 교정치료
- 치료시작일
- 2017.04.14
- 치료종료일
- 2020.05.04
- 치료율
- 100%

주치의 장준규교정대표원장주치의소개
치료진행과정
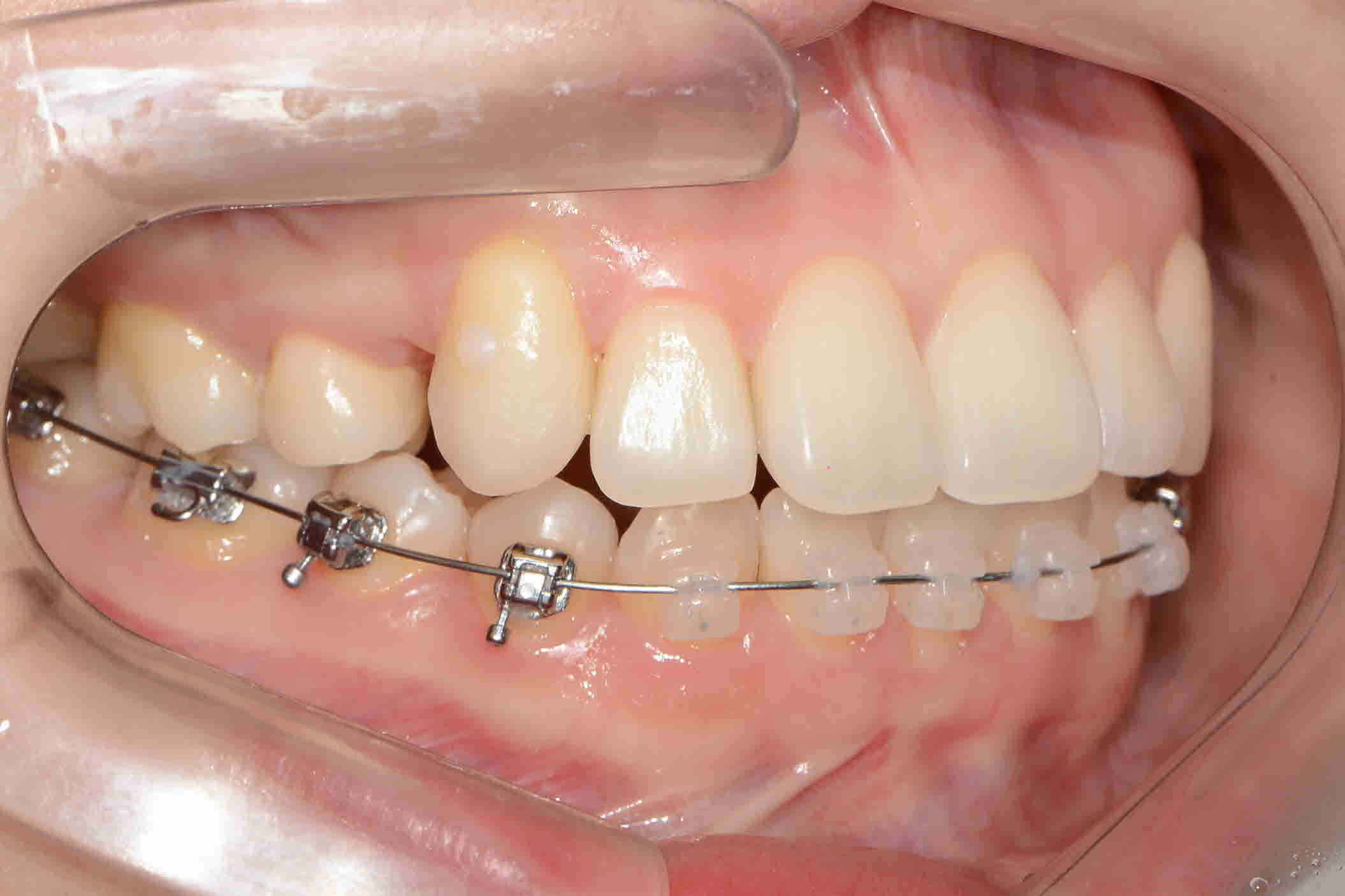
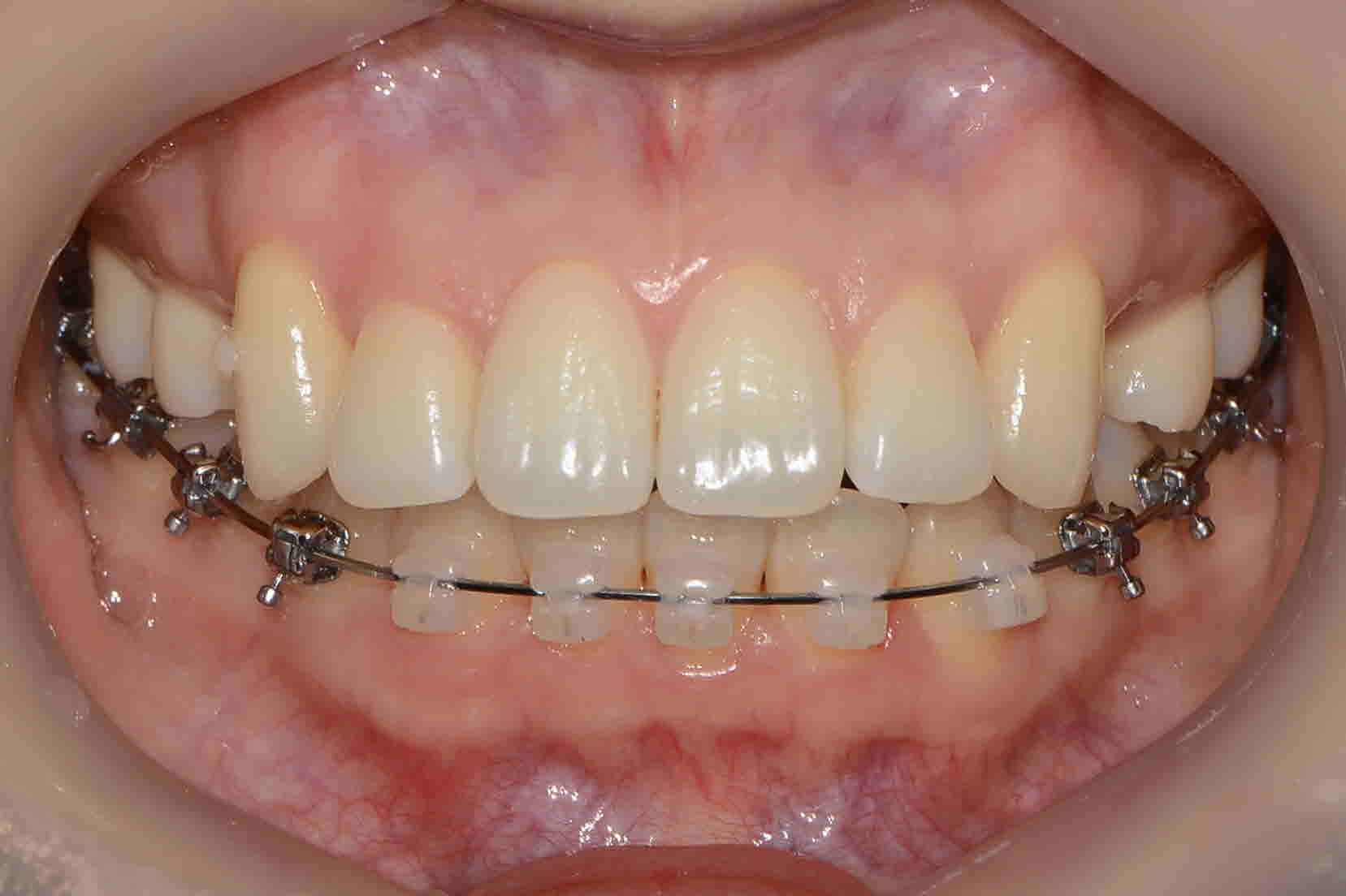
삐뚤거리는 덧니로 인해 교정을 진행중이신 최**님! 외관상으로 자주 웃으셔야 하기 때문에 교정장치가 잘 보이지 않도록 위에는 설측교정으로 아래쪽은 심미적인 데이몬 장치를 선택해서 교정치료를 진행중이십니다^^ 만족도 100%가 되는 서울바른이가 되도록 노력하겠습니다.
-
교정시작 정면
-
교정시작 측면
-
교정시작 교합면
-
2017년 08월 정면
-
2017년 08월 측면
-
2017년 08월 교합면
-
2017년 9월 정면
-
2017년 9월 측면
-
2017년 9월 교합면
-
201 8년 1월 정면
-
201 8년 1월 측면
-
201 8년 1월 교합면
-
2019년 2월 정면
-
2019년 2월 측면
-
2019년 2월 교합면
-
교정완료 정면
-
교정완료 측면
-
교정완료 교합면












