서울바른이 진행케이스
현재 서울바른이치과교정과에서 치료 중인 환자분들의 변화과정입니다.
치료에 자신이 있기 때문에 좋은 결과만을 선택적으로 보여드리지 않고, 사진제공에 동의하신 환자분들의 교정치료 사진 전체를 보여드립니다.
-
NEW 교정완료)쉿! 티 안나게 예뻐지는 설측 교정
-
NEW 교정완료)깨끗하게~맑게~자신있게! 화이트한 ...
-
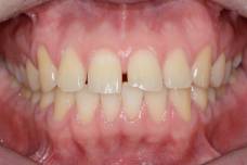
NEW 교정완료)벌어져있는 치아 사이를 모으고 싶...
-
NEW 교정완료)뭣이라? 치아교정만으로도 이미지...
-
NEW 교정완료)틈새라면?(꿀꺽) 벌어진 치아는 공...











