서울바른이 진행케이스
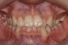
현재 서울바른이치과교정과에서 치료 중인 환자분들의 변화과정입니다.
치료에 자신이 있기 때문에 좋은 결과만을 선택적으로 보여드리지 않고, 사진제공에 동의하신 환자분들의 교정치료 사진 전체를 보여드립니다.
-
NEW 8월 update) 끌리네 끌리네♬ 자꾸 끌리네♪ 서...
-
NEW 7월 update)신나게 가즈아♬ 힘차게 가즈아♬ ...
-
NEW 6월 update)덧니라는 전쟁터에 교정하면서 생존...
-
NEW 6월 update)여러분~ 여러분~ 교정합시다 ♩가끔...
-
NEW 6월 update) 붙어라(딱!) 붙어라(딱!) 클리피씨 ...











