Global navigation bar
LOGIN
JOIN
전체메뉴
치과소개
인사말
의료진소개
진료시간 안내
병원둘러보기
찾아오시는 길
서울바른이의 특별함
돌출입 교정 치료
비발치 덧니 교정
서울대 교정전문의
교정 주치의 책임 진료
3D CT 3차원진단
교정장치
완벽한 멸균소독 시스템
정직한 진료와 분납제도
분과별 협력진료
교정프로그램
원데이 스타트
데이몬클리어
클리피씨
세라믹/메탈
시크릿 교정
인코그니토 교정
인비절라인 교정
증상별프로그램
연령별 프로그램
임플란트 및 보철진료
임플란트 및 심미보철
전후사진 및 치료중 사진
서울바른이 진행 케이스
서울바른이 치료 종료케이스
치아교정 상식
부정교합이란
교정치료과정
교정치료 주의사항
잇솔질 방법
고객상담센터
공지사항
감사합니다 여러분
고마워요 서울바른이(후기)
자주 묻는 질문
전후사진 및 치료중 사진
서울바른이 진행 케이스
서울바른이 치료 종료케이스
032.710.8275
월/화/금요일
AM 10:00 ~ PM 07:00
수요일
PM 02:00 ~ PM 09:00
목요일
학기중 휴진 (여름, 겨울방학은 정상진료)
토요일
AM 09:30 ~ PM 02:30
점심시간
PM 01:00 ~ PM 02:00
서울바른이 치료 종료케이스
전후사진 및 치료중 사진
서울바른이 치료 종료케이스
돌출입
덧니(발치)
덧니(비발치)
비수술 개방교합
과개교합
비수술 주걱턱
수술 교정
성장기 교정
7개(1/1페이지)
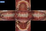
치료 전
치료 후
[덧니_비발치]
잔체교정 (30대 여성)
2018-04-20
치료 전
치료 후
[덧니_비발치]
전체교정 (20대 남성)
2018-04-20
치료 전
치료 후
[덧니_비발치]
위 앞니 부분교정 (설측 부분 교정)
2016-07-05
2d 라는 작은 교정장치를 이용해서 6개월간 위 앞니만 부분교정치료를 하였습니다.
치료 전
치료 후
[덧니_비발치]
부분교정 (아래 앞니)
2016-07-05
아래 앞니가 삐뚤삐뚤한 것을 교정하러 오신 환자분입니다. 6개월간 세라믹 교정장치를 사용하여 치료하였습니다.
치료 전
치료 후
[덧니_비발치]
앞니 덧니, 전체치열 후방이동, 치간삭제 (20대 여성)
2015-05-19
앞니 덧니로 교정치료를 시작하셨습니다. 덧니를 고르게 하면서 앞니가 앞으로 뻐드러지지 않도록 미니스크류를 이용하여 전체 치열을 후방 이동 시켰습니다. 당신의 미소를 생각합니다, 교정전문 서울바른이치과
치료 전
치료 후
[덧니_비발치]
송곳니 덧니, 아랫니 덧니 (20대 여성)
2015-05-19
송곳니 덧니와 울퉁불퉁한 아랫니 때문에 교정치료를 받으셨습니다. 가지런하게 배열된 치아를 보실 수 있습니다. 당신의 미소를 생각합니다, 교정전문 서울바른이치과
치료 전
치료 후
[덧니_비발치]
안으로 난 측절치 덧니, 치간삭제 (20세 여성)
2015-05-19
치아맹출 공간이 부족하여 측절치가 안으로 났습니다. 치아 사이즈를 조금씩 줄이면서, 교정치료를 진행하여 이가 앞으로 뻐드러지지 않은 채로 배열이 잘 끝났습니다. 당신의 미소를 생각합니다, 교정전문 서울바른이치과
목록
Board Search
제목
내용
작성자
아이디
검색
서울바른이치과의원 간편 상담신청서
서울바른이치과의원 간편 상담신청
이름
연락처
010
011
018
019
-
-
※ 제공하신 개인정보는 개인정보보호지침에따라 보호,관리되며 제3자에게 동의없이 제공되지 않습니다.
오시는길
치료후기
네이버예약
카카오상담
인스타그램
TOP