서울바른이치과의원 간편 상담신청서
서울바른이치과의원 간편 상담신청
이름
연락처
010
011
018
019
-
-
※ 제공하신 개인정보는 개인정보보호지침에따라 보호,관리되며 제3자에게 동의없이 제공되지 않습니다.
치료 전후 사진
전체
돌출입
덧니_발치
덧니_비발치
비수술_개방교합
과개교합
비수술_주걱턱
수술교정
성장기_교정
29개(1/6페이지)
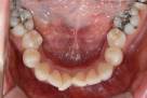
치료 전
치료 후
[덧니_비발치]
잔체교정 (30대 여성)
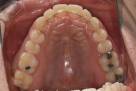
치료 전
치료 후
[덧니_비발치]
전체교정 (20대 남성)
치료 전
치료 후
[덧니_발치]
송곳니 덧니(10대 여성)
치료 전
치료 후
[덧니_발치]
송곳니 심한덧니 (20대 남성)
치료 전
치료 후
[덧니_비발치]
위 앞니 부분교정 (설측 부분 ...
2d 라는 작은 교정장치를 이용해서 6개월간 위 앞니만 부분교정치료를 하였습니다.
목록
1
2
3
다음
맨끝
Board Search
제목
내용
작성자
아이디
검색
서울바른이치과의원 간편 상담신청서
서울바른이치과의원 간편 상담신청
이름
연락처
010
011
018
019
-
-
※ 제공하신 개인정보는 개인정보보호지침에따라 보호,관리되며 제3자에게 동의없이 제공되지 않습니다.
치과소개
인사말
의료진소개
진료시간 안내
병원둘러보기
찾아오시는 길
서울바른이의 특별함
돌출입 교정 치료
비발치 덧니 교정
서울대 교정전문의
교정 주치의 책임 진료
3D CT 3차원진단
교정장치
완벽한 멸균소독 시스템
정직한 진료와 분납제도
분과별 협력진료
교정프로그램
원데이 스타트
데이몬클리어
클리피씨
세라믹/메탈
시크릿 교정
인코그니토 교정
인비절라인 교정
증상별프로그램
연령별 프로그램
임플란트 및 보철진료
임플란트 및 심미보철
전후사진 및 치료중 사진
서울바른이 치료 종료케이스
치아교정 상식
부정교합이란
교정치료과정
교정치료 주의사항
잇솔질 방법
고객상담센터
공지사항
감사합니다 여러분
고마워요 서울바른이(후기)
자주 묻는 질문